• Cristina García Campos | 05-Apr-2021

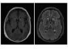
    Presentamos el caso de un varón de 59 años, sanitario de profesión y sin antecedentes previos conocidos.

    Durante el ascenso a una altura de 5.000 metros en Perú, habiendo llegado al país pocos días antes, presentó...
    Caso completo | PDF

    Neurología: Patología cerebrovascular | Trastornos cognitivosEtiología: Ictus | MisceláneaDiagnóstico final: Ictus isquémico bilateral en ganglios basales secundario a hipoxia en contexto de mal de altura.Nivel de certeza:
  • Marta Marín Gracia | 30-Mar-2021

    Mujer de 45 años con antecedente de miopatía mitocondrial "fibras rojo rasgadas COX negativas" y mutación puntual A3243G con 35% de heteroplasmia, antecedente de status focal occipital y crisis focales sensitivas, migraña e hipoacusia neurosensorial...
    Caso completo | PDF

    Neurología: Epilepsia | Neuromuscular / ataxiasEtiología: MetabólicoDiagnóstico final: MELAS (Encefalomiopatía mitocondrialNivel de certeza:
  • Paloma Martín Jiménez | 30-Mar-2021

    Varón de 58 años con antecedentes relevantes de hipertensión arterial (HTA) y diabetes mellitus (DM) tipo 2 con mala adherencia terapéutica y complicaciones metadiabéticas (retinopatía y nefropatía). Acude a Urgencias por cuadro de inicio brusco...
    Caso completo | PDF

    Neurología: Patología cerebrovascular | Trastornos del movimientoEtiología: IctusDiagnóstico final: Hemicorea por ictus hemorrágico en núcleo subtalámico de LuysNivel de certeza:
  • Joaquín Ojeda Ruiz de Luna | 30-Mar-2021

    Paciente sin AP de interes. Tno adaptativo sin tratamiento.

    Seis meses antes de consultar refiere presentar mientras mantiene bipedestación estable (más de 30s sin moverse del sitio), sensación de inestabilidad, con falta de control de las piernas, que le...
    Caso completo | PDF

    Neurología: Trastornos del movimientoEtiología: CriptogénicoDiagnóstico final: Temblor ortostático primarioNivel de certeza:
  • Esther Garcés Antón | 30-Mar-2021

    Varón de 42 años, diestro, con historia de 5 años de epilepsia farmacorresistente sin lesión en neuroimagen. Antecedentes: parto sin complicaciones, desarrollo psicomotor normal, no crisis febriles, no infecciones ni traumatismos del SNC. No antecedentes familiares...
    Caso completo | PDF

    Neurología: EpilepsiaEtiología: OtrosDiagnóstico final: Encefalocele temporal izquierdoNivel de certeza:
  • Jenifer del Pino Castellano Santana | 30-Mar-2021

    Varón de 44 años natural de Mauritania, sin antecedentes personales relevantes, que consulta por cefalea. La refiere a nivel fronto-temporal bilateral, opresiva, de tres semanas de evolución que asocia náuseas y vómitos en los últimos...
    Caso completo | PDF

    Neurología: InfecciosasEtiología: Infecciosas / inflamatoria / desmielinizanteDiagnóstico final: Tuberculoma cerebelosoNivel de certeza:
  • Diana Esteller Gauxax | 30-Mar-2021

    Paciente de 58 años, exfumador, con antecedente de cáncer microcítico de pulmón estadio IV A diagnosticado un año antes, tratado con quimioterapia (esquema CBDCA+VP16) e inmunoterapia (nintedanib) con enfermedad estable. Presenta paraparesia (4/5 proximal y...
    Caso completo | PDF

    Neurología: NeurooncologíaEtiología: NeoplasiasDiagnóstico final: Metástasis miliares cerebrales y medulares.Nivel de certeza:
  • Maria Pilar Botanch Domingo | 30-Mar-2021

    Mujer de 20 años con antecedentes de prematuridad. AP y AF de migraña. Estudiada en 2011 (11 años) por migraña con RMN cerebral en la que se evidencia como hallazgo un quiste aracnoideo parasagital. 

    Consulta por...
    Caso completo | PDF

    Neurología: Cefalea | OtrosEtiología: Anatomía. Variantes de la normalidadDiagnóstico final: Quiste aracnoideoNivel de certeza:
  • Francisco Martínez Dubarbie | 30-Mar-2021

    Paciente de 35 años, exfumadora, con antecedentes de nistagmo congénito, espina bífida y asma que acude a consultas de NRL por haber presentado cuadro de inicio brusco al despertar, de diez minutos de duración de...
    Caso completo | PDF

    Neurología: Epilepsia | OtrosEtiología: Anatomía. Variantes de la normalidad | Genético / idiopáticoDiagnóstico final: Crisis focal frontal. Polimicrogiria.Nivel de certeza:
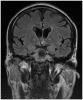
  • Carlota Méndez del Barrio | 30-Mar-2021

    Se trata de un varón de 64 años, abogado, sin alergias medicamentosas, hipertenso y diabético en buen control y tratamiento. Realizaba un consumo diario de dos copas de vino y no tomaba otros tóxicos. Refería...
    Caso completo | PDF

    Neurología: Trastornos cognitivos | InfecciosasEtiología: Infecciosas / inflamatoria / desmielinizanteDiagnóstico final: Enfermedad de WhippleNivel de certeza:
  • María José Hernández García | 30-Mar-2021

    Paciente mujer de 47 años que consulta por dolor ocular sin disminución de agudeza visual ni otra sintomatología acompañante salvo tinnitus fluctuante. La paciente no tiene antecedentes personales de interés, peso normal. En exploración oftalmológica...
    Caso completo | PDF

    Neurología: NeurooftalmologiaEtiología: Malformación vascularDiagnóstico final: fístula arteriovenosa duralNivel de certeza:
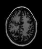
  • Lina Carazo Barrios | 30-Mar-2021

    Paciente que comienza con cuadro insidioso de inicio gradual y empeoramiento progresivo en dos meses, de alteración en el lenguaje. Inicialmente presentaba leve dificultad para evocar palabras. Consultó en urgencias por empeoramiento rápido con torpeza...
    Caso completo | PDF

    Neurología: NeurooncologíaEtiología: NeoplasiasDiagnóstico final: Meningiomatosis múltipleNivel de certeza:

Páginas

El acceso a Neurorecordings está restringido a médicos, y hace uso del sistema de validación de la plataforma Navandú. Si aún no dispone de usuario es necesario proceder previamente a su registro.

Para cualquier consulta puede dirigirse al Centro de Atención Navandú.

El acceso a Neurorecordings está restringido a médicos, y hace uso del sistema de validación de la plataforma Navandú. Si aún no dispone de usuario es necesario proceder previamente a su registro.

Para cualquier consulta puede dirigirse al Centro de Atención Navandú.

Para iniciar sesión y registrarse en Neurorecordings, le vamos a redirigir a la plataforma de validación profesional de Navandu.

AVISO
Está saliendo del sitio web de Neurorecordings. Este enlace le llevará a un sitio web en el que no se aplica nuestra Política de Privacidad. Usted es el único responsable de sus interacciones con ese sitio web.