Síndrome medular secundario a metástasis miliares de carcinoma pulmonar de células pequeñas.
Síndrome medular secundario a metástasis miliares de carcinoma pulmonar de células pequeñas.
Hombre | 58 años
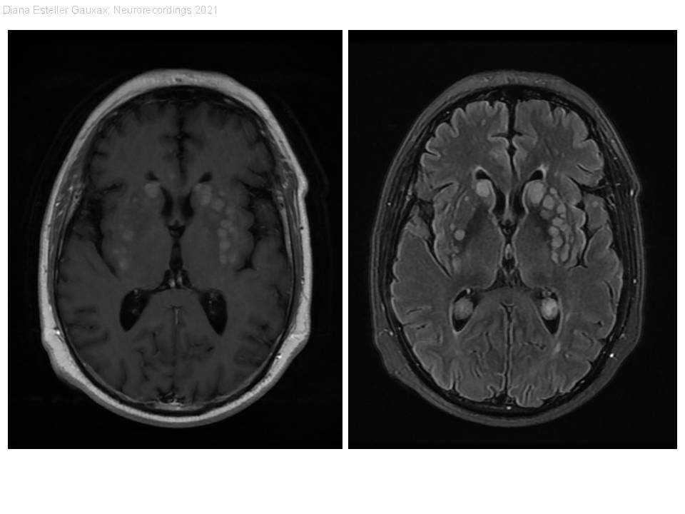
Diagnóstico final: Metástasis miliares cerebrales y medulares.
Nivel de certeza: 




Neurología: Neurooncología
Etiología: Neoplasias
Diana Esteller Gauxax - Hospital Clinic I Provincial De Barcelona
Antonio Doncel-Moriano Cubero
30-Mar-2021
Resumen del caso
Paciente de 58 años, exfumador, con antecedente de cáncer microcítico de pulmón estadio IV A diagnosticado un año antes, tratado con quimioterapia (esquema CBDCA+VP16) e inmunoterapia (nintedanib) con enfermedad estable. Presenta paraparesia (4/5 proximal y...
Para ver el contenido completo debe estar registrado
Haga click aquí para iniciar sesión o registrarse

El acceso a Neurorecordings está restringido a médicos, y hace uso del sistema de validación de la plataforma Navandú. Si aún no dispone de usuario es necesario proceder previamente a su registro.
Para cualquier consulta puede dirigirse al Centro de Atención Navandú.
Para iniciar sesión y registrarse en Neurorecordings, le vamos a redirigir a la plataforma de validación profesional de Navandu.
AVISO
Está saliendo del sitio web de Neurorecordings. Este enlace le llevará a un sitio web en el que no se aplica nuestra Política de Privacidad. Usted es el único responsable de sus interacciones con ese sitio web.
