Epilepsia focal en paciente con malformación cerebral compleja.

Epilepsia focal en paciente con malformación cerebral compleja.

Mujer | 35 años
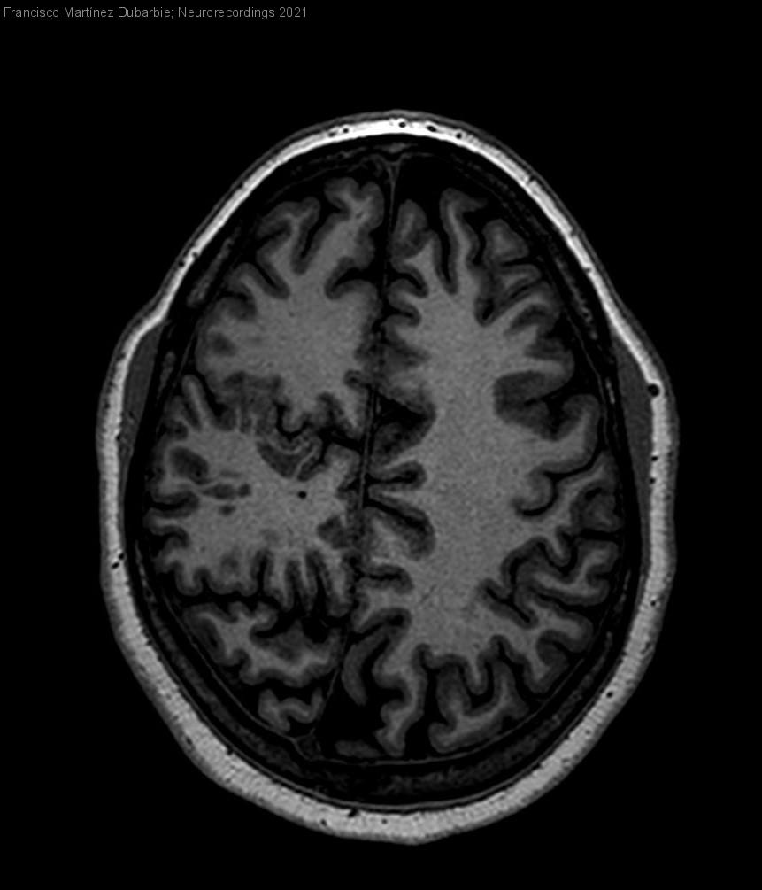
Diagnóstico final: Crisis focal frontal. Polimicrogiria.
Nivel de certeza:
Neurología: Epilepsia | Otros
Etiología: Anatomía. Variantes de la normalidad | Genético / idiopático
Francisco Martínez Dubarbie - Hospital Universitario Marqués De Valdecilla
Jorge Madera Fernández
30-Mar-2021

Resumen del caso

Paciente de 35 años, exfumadora, con antecedentes de nistagmo congénito, espina bífida y asma que acude a consultas de NRL por haber presentado cuadro de inicio brusco al despertar, de diez minutos de duración de...


Para ver el contenido completo debe estar registrado

Haga click aquí para iniciar sesión o registrarse

El acceso a Neurorecordings está restringido a médicos, y hace uso del sistema de validación de la plataforma Navandú. Si aún no dispone de usuario es necesario proceder previamente a su registro.

Para cualquier consulta puede dirigirse al Centro de Atención Navandú.

Para iniciar sesión y registrarse en Neurorecordings, le vamos a redirigir a la plataforma de validación profesional de Navandu.

AVISO
Está saliendo del sitio web de Neurorecordings. Este enlace le llevará a un sitio web en el que no se aplica nuestra Política de Privacidad. Usted es el único responsable de sus interacciones con ese sitio web.