Encefalocele del polo temporal, la importancia de la correlación clínica y de las pruebas complementarias en el estudio de la epilepsia
Encefalocele del polo temporal, la importancia de la correlación clínica y de las pruebas complementarias en el estudio de la epilepsia
Hombre | 42 años
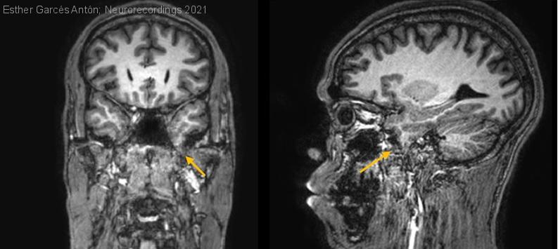
Diagnóstico final: Encefalocele temporal izquierdo
Nivel de certeza: 




Neurología: Epilepsia
Etiología: Otros
Esther Garcés Antón - Hospital Clínico Universitario Lozano Blesa
30-Mar-2021
Resumen del caso
Varón de 42 años, diestro, con historia de 5 años de epilepsia farmacorresistente sin lesión en neuroimagen. Antecedentes: parto sin complicaciones, desarrollo psicomotor normal, no crisis febriles, no infecciones ni traumatismos del SNC. No antecedentes familiares...
Para ver el contenido completo debe estar registrado
Haga click aquí para iniciar sesión o registrarse

El acceso a Neurorecordings está restringido a médicos, y hace uso del sistema de validación de la plataforma Navandú. Si aún no dispone de usuario es necesario proceder previamente a su registro.
Para cualquier consulta puede dirigirse al Centro de Atención Navandú.
Para iniciar sesión y registrarse en Neurorecordings, le vamos a redirigir a la plataforma de validación profesional de Navandu.
AVISO
Está saliendo del sitio web de Neurorecordings. Este enlace le llevará a un sitio web en el que no se aplica nuestra Política de Privacidad. Usted es el único responsable de sus interacciones con ese sitio web.
