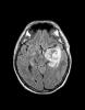
• Diego Antonio Zamora Pérez | 13-Dec-2016

    Varón de 60 años de edad con antecedente personal de hipertensión arterial y hábitos tabáquico y etílico severos. El paciente es ingresado por un cuadro de aproximadamente siete meses de evolución consistente en cefalea holocraneal...
    Caso completo | PDF

    Neurología: NeurooncologíaEtiología: NeoplasiasDiagnóstico final: Gliosarcoma cerebral con metástasis múltiples en neuroejeNivel de certeza:
  • Alberto Grande Martín | 13-Dec-2016

    Paciente sin antecedentes de interés, que refería tras trabajo vigoroso con los brazos, sensación subjetiva de debilidad en manos y pesadez en piernas. Al día siguiente presentó calambres en muslos y pantorrillas y la pérdida...
    Caso completo | PDF

    Neurología: Neuromuscular / ataxias | OtrosEtiología: Infecciosas / inflamatoria / desmielinizanteDiagnóstico final: Polirradiculoneuritis desmielinizante aguda inflamatoria (síndrome de Guillain-Barré)Nivel de certeza:
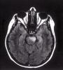
  • María José Gil Moreno | 05-Oct-2016

    Varón de 44 años. Sin alergias a fármacos, exfumador. Trombosis de senos venosos en 1990 con varias secuales: hipoacusia OD y síntomas cognitivos.

    Acude al hospital por cefalea persistente de 3 días de evolución, progresiva, holocraneal, más intensa en...
    Caso completo | PDF

    Neurología: CefaleaEtiología: OtrosDiagnóstico final: Fístula LCR espontáneaNivel de certeza:
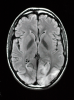
  • Irene Sanz Gallego | 05-Oct-2016

    Mujer de 31 años, fumadora, que consultó en Urgencias por cefalea frontal izquierda de cuatro días de evolución, opresiva, continua y con aumento de intensidad progresivo. Asociaba sonofobia, fotofobia y vómitos, no interfería con el descanso...
    Caso completo | PDF

    Neurología: Neurooncología | Cefalea | Anatomía. Variantes de la normalidadEtiología: NeoplasiasDiagnóstico final: Carcinoma gástrico estadío IVNivel de certeza:
  • Jose Luis Camacho Velasquez | 07-Sep-2016

    Paciente con antecedentes de hipertension arterial y tabaquismo; acude por cuadro de 8 horas de evolución con inicio brusco de debilidad de extremidad superior izquierda y leve sensación de mareo sin otra sintomatologia acompañante. Examen...
    Caso completo | PDF

    Neurología: Patología cerebrovascularEtiología: IctusDiagnóstico final: Ictus isquémico de rama opercular de arteria cerebral media derechaNivel de certeza:
  • Monica Alaña Garcia | 07-Sep-2016

    Antecedentes de HTA. Consulta por dolor cervical intenso hasta precisar tratamiento con opioides de cinco meses de evolución.En los últimos tres meses progresiva debilidad en las extremidades,sin poder caminar sin ayuda,estreñimiento e incontinencia urinaria. Exploración...
    Caso completo | PDF

    Neurología: Patología de raquis | InfecciosasEtiología: Infecciosas / inflamatoria / desmielinizanteDiagnóstico final: Compresión medular secundaria a tuberculosis diseminada.Nivel de certeza:
  • Marta González Sánchez | 29-Aug-2016

    Mujer de 18 años natural de Perú, sana. Ingresa en el hospital por presentar una crisis comicial parcial compleja secundariamente generaliza aislada y cefalea holocraneal, sin otra clínica acompañante. La exploración cardiopulmonar y neurológica fue...
    Caso completo | PDF

    Neurología: InfecciosasEtiología: Infecciosas / inflamatoria / desmielinizanteDiagnóstico final: Tuberculoma cerebralNivel de certeza:
  • Juan Jose Asencio Marchante | 24-Aug-2016

    Paciente afecta de crisis comiciales y retraso mental desde el nacimiento, intervenida de nefrectomía derecha por angiomiolipomas múltiples renales. Presenta angiofibromas en alas de mariposa intervenidos en dermatología asi como manchas acrómicas distribuidas por la piel....
    Caso completo | PDF

    Neurología: Epilepsia | Trastornos cognitivosEtiología: Genético / idiopáticoDiagnóstico final: Esclerosis tuberosaNivel de certeza:
  • Carlos Calle | 24-Aug-2016

    Presentamos el caso de un varón de 55 años con antecedentes de hábito enólico, esteatosis hepática y dislipemia, que acude a Urgencias por presentar dolor en región cervical irradiado a ambos hombros, dificultad progresiva para...
    Caso completo | PDF

    Neurología: Patología de raquisEtiología: OtrosDiagnóstico final: MIELOPATÍA CERVICAL ESPONDILÓTICA SECUNDARIA A HERNIA DISCAL A NIVEL C3-C4Nivel de certeza:
  • Diego Antonio Zamora Pérez | 24-Aug-2016

    Varón de 32 años de edad con antecedente personal de enfermedad de Behçet en control por servicio de Reumatología. El paciente es ingresado por un cuadro de varias semanas de evolución consistente en episodios de...
    Caso completo | PDF

    Neurología: OtrosEtiología: Infecciosas / inflamatoria / desmielinizanteDiagnóstico final: Síndrome de neuro-BehçetNivel de certeza:
  • Abel Diaz Diaz | 24-Aug-2016

    Varón de 20 años con antecedentes personales de retraso del crecimiento y crisis comiciales desde la infancia y familiares de fallecimiento de abuela materna por enfermedad muscular no filiada que ingresa por ceguera bilateral de origen cortical. A la...
    Caso completo | PDF

    Neurología: Epilepsia | OtrosEtiología: Genético / idiopáticoDiagnóstico final: Síndrome MELASNivel de certeza:
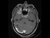
  • Raúl Gutiérrez Ríos | 10-Aug-2016

    Varón de 67 años de edad con AP de DM tipo 2 en tratamiento con glimepirida, sin otros antecedentes de interés. Es remitido a consultas de Neurología desde el Sº de Urgencias por hallazgo en...
    Caso completo | PDF

    Neurología: Neurooncología | CefaleaEtiología: NeoplasiasDiagnóstico final: Meningioma microquístico. Quiste triquilemalNivel de certeza:

Páginas

El acceso a Neurorecordings está restringido a médicos, y hace uso del sistema de validación de la plataforma Navandú. Si aún no dispone de usuario es necesario proceder previamente a su registro.

Para cualquier consulta puede dirigirse al Centro de Atención Navandú.

Para iniciar sesión y registrarse en Neurorecordings, le vamos a redirigir a la plataforma de validación profesional de Navandu.

AVISO
Está saliendo del sitio web de Neurorecordings. Este enlace le llevará a un sitio web en el que no se aplica nuestra Política de Privacidad. Usted es el único responsable de sus interacciones con ese sitio web.