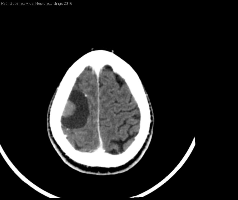
Meningioma quístico

Meningioma quístico

Hombre | 67 años
Diagnóstico final: Meningioma microquístico. Quiste triquilemal
Nivel de certeza:
Neurología: Neurooncología | Cefalea
Etiología: Neoplasias
Raúl Gutiérrez Ríos - Hospital Nuestra Señora De Sonsoles
Ana Belén Caminero Rodríguez
10-Aug-2016

Resumen del caso

Varón de 67 años de edad con AP de DM tipo 2 en tratamiento con glimepirida, sin otros antecedentes de interés. Es remitido a consultas de Neurología desde el Sº de Urgencias por hallazgo en...


Para ver el contenido completo debe estar registrado

Haga click aquí para iniciar sesión o registrarse

El acceso a Neurorecordings está restringido a médicos, y hace uso del sistema de validación de la plataforma Navandú. Si aún no dispone de usuario es necesario proceder previamente a su registro.

Para cualquier consulta puede dirigirse al Centro de Atención Navandú.

Para iniciar sesión y registrarse en Neurorecordings, le vamos a redirigir a la plataforma de validación profesional de Navandu.

AVISO
Está saliendo del sitio web de Neurorecordings. Este enlace le llevará a un sitio web en el que no se aplica nuestra Política de Privacidad. Usted es el único responsable de sus interacciones con ese sitio web.