Cefalea y hemiparesia subagudos en paciente con aftas orales y uveítis de repetición
Cefalea y hemiparesia subagudos en paciente con aftas orales y uveítis de repetición
Hombre | 32 años
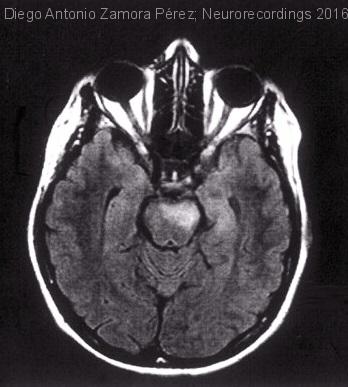
Diagnóstico final: Síndrome de neuro-Behçet
Nivel de certeza: 




Neurología: Otros
Etiología: Infecciosas / inflamatoria / desmielinizante
Diego Antonio Zamora Pérez - Hospital General De Elche
Miguel Ángel García Quesada
24-Aug-2016
Resumen del caso
Varón de 32 años de edad con antecedente personal de enfermedad de Behçet en control por servicio de Reumatología. El paciente es ingresado por un cuadro de varias semanas de evolución consistente en episodios de...
Para ver el contenido completo debe estar registrado
Haga click aquí para iniciar sesión o registrarse

El acceso a Neurorecordings está restringido a médicos, y hace uso del sistema de validación de la plataforma Navandú. Si aún no dispone de usuario es necesario proceder previamente a su registro.
Para cualquier consulta puede dirigirse al Centro de Atención Navandú.
Para iniciar sesión y registrarse en Neurorecordings, le vamos a redirigir a la plataforma de validación profesional de Navandu.
AVISO
Está saliendo del sitio web de Neurorecordings. Este enlace le llevará a un sitio web en el que no se aplica nuestra Política de Privacidad. Usted es el único responsable de sus interacciones con ese sitio web.
