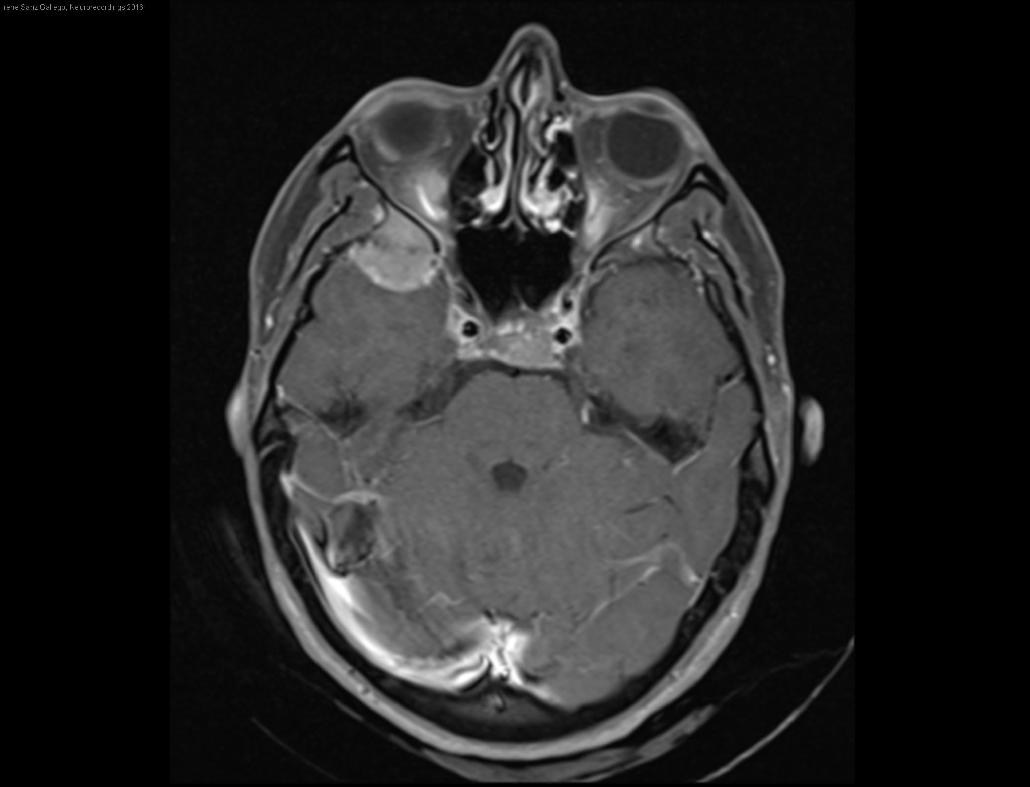
Parálisis de III y IV nervios craneales izquierdos secundaria a metástasis cerebrales
Parálisis de III y IV nervios craneales izquierdos secundaria a metástasis cerebrales
Mujer | 31 años
Diagnóstico final: Carcinoma gástrico estadío IV
Nivel de certeza: 




Neurología: Neurooncología | Cefalea | Anatomía. Variantes de la normalidad
Etiología: Neoplasias
Irene Sanz Gallego - Hospital Nuestra Señora De Sonsoles
Raúl Gutiérrez Ríos
05-Oct-2016
Resumen del caso
Mujer de 31 años, fumadora, que consultó en Urgencias por cefalea frontal izquierda de cuatro días de evolución, opresiva, continua y con aumento de intensidad progresivo. Asociaba sonofobia, fotofobia y vómitos, no interfería con el descanso...
Para ver el contenido completo debe estar registrado
Haga click aquí para iniciar sesión o registrarse

El acceso a Neurorecordings está restringido a médicos, y hace uso del sistema de validación de la plataforma Navandú. Si aún no dispone de usuario es necesario proceder previamente a su registro.
Para cualquier consulta puede dirigirse al Centro de Atención Navandú.
Para iniciar sesión y registrarse en Neurorecordings, le vamos a redirigir a la plataforma de validación profesional de Navandu.
AVISO
Está saliendo del sitio web de Neurorecordings. Este enlace le llevará a un sitio web en el que no se aplica nuestra Política de Privacidad. Usted es el único responsable de sus interacciones con ese sitio web.
