• LAURA REDONDO ROBLES | 20-Mar-2019

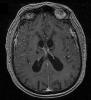
    Paciente de 32 años con antecedente de encefalopatía connatal con retraso mental moderado que presentó su primera crisis epiléptica tónico-clónica en julio de 2017; por este motivo se le realizó una TAC craneal que demostró...
    Caso completo | PDF

    Neurología: OtrosEtiología: OtrosDiagnóstico final: Hidrocefalia ex vacuoNivel de certeza:
  • Alberto Lozano Ros | 09-Mar-2019

    Mujer de 79 años con antecedentes de HTA, DM-II, ictus isquémico de ACP izquierda y enfermedad de Alzheimer con GDS 4. Paciente que estando ingresada por infección urinaria complicada, es valorada por un cuadro clínico...
    Caso completo | PDF

    Neurología: Patología cerebrovascularEtiología: IctusDiagnóstico final: Ictus isquémico de la arteria cerebral anterior izquierdaNivel de certeza:
  • Elena Casas Peña | 09-Mar-2019

    Mujer de 63 años con Enfermedad de Parkinson desde hace 20 años. Durante los últimos 17, ha desarrollado una postura de anteroflexión del tronco en bipedestación, cada vez mayor. En base a la clínica y a los...
    Caso completo | PDF

    Neurología: Patología de raquisEtiología: DegenerativoDiagnóstico final: Camptocormia en paciente con Enfermedad de ParkinsonNivel de certeza:
  • Fernando Romero Delgado | 09-Mar-2019

    Mujer de 26 años sin antecedentes de interés que presenta dolor retroorbitario derecho de tres días de evolución sin asociar inyección conjuntival ni lagrimeo. Posteriormente comienza con acorchamiento en región malar y hemilengua derecha. Horas...
    Caso completo | PDF

    Neurología: Enfermedades desmielinizantesEtiología: Neoplasias | Autoinmune / sistémico | Infecciosas / inflamatoria / desmielinizanteDiagnóstico final: Esclerosis múltiple remitente recurrenteNivel de certeza:
  • Susana López Gallardo | 09-Mar-2019

    Paciente que presenta desde hace dos años quejas cognitivas de intensidad creciente, caracterizadas por una afectación de memoria anterógrada así como una tendencia a la dificultad para la nominación de objetos comunes, que le interfieren de...
    Caso completo | PDF

    Neurología: Trastornos cognitivosEtiología: Degenerativo | Tóxica-yatrogeniaDiagnóstico final: Bloqueo Auriculoventricular de segundo grado (Mobitz 1 -tipo Wenckebach)Nivel de certeza:
  • Alejandro Blázquez González | 09-Mar-2019

    Varón de 27 años que acude por parestesias en MMII y déficit motor en MSI tras realizar ejercicio moderado. AP: neuralgia de Arnold izquierda, Hepatitis B. En estudio por adenopatías prehiliares. Origen senegalés. Sin otros AP...
    Caso completo | PDF

    Neurología: OtrosEtiología: Autoinmune / sistémicoDiagnóstico final: Neurosarcoidosis con afectación bulbo-medular.Nivel de certeza:
  • Juan Francisco Buendía Martínez | 09-Mar-2019

    Varón de 55 años sin antecedentes de interés. Niega consanguinidad, aunque sus padres comparten el segundo apellido y son naturales de un pequeño pueblo.

    HiperCKemia detectada con 45 años de forma incidental, con niveles de CK...
    Caso completo | PDF

    Neurología: Neuromuscular / ataxiasEtiología: Genético / idiopáticoDiagnóstico final: miopatía asociada a ANO-5Nivel de certeza:
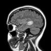
  • Juan Delgado | 16-Jan-2019

    Mujer de 27 años que acude a urgencias en la madrugada por cefalea de una semana de evolución que la despierta por la noche. Presenta foto y sonofobia. El resto de la exploración física y...
    Caso completo | PDF

    Neurología: Neurooncología | CefaleaEtiología: Neoplasias | MisceláneaDiagnóstico final: Neurocitoma centralNivel de certeza:
  • Sonia Quintas Gutiérrez | 16-Jan-2019

    Varón de 83 años, con hipertensión arterial, dislipemia y diabetes mellitus. Ingresó por cuadro progresivo de dos semanas de somnoliencia. No había presentado fiebre ni sintomatología infecciosa. Refería desde hacía 3 meses astenia e hiporexia progresivas. En...
    Caso completo | PDF

    Neurología: NeurooncologíaEtiología: NeoplasiasDiagnóstico final: Carcinomatosis meningeaNivel de certeza:
  • SIRA CARRASCO GARCÍA DE LEÓN | 16-Jan-2019

    Mujer de 39 años con antecedentes de sinusitis crónica, cuyo embarazo transcurrió sin incidencias y el parto fue vaginal sin complicaciones. Consulta en el tercer mes postparto por ptosis palpebral derecha de lenta progresión. A la exploración...
    Caso completo | PDF

    Neurología: NeurooftalmologiaEtiología: Malformación vascular | NeoplasiasDiagnóstico final: Hemangioma Cavernoso Orbitario del adultoNivel de certeza:
  • Tatiana Espinosa Oltra | 16-Jan-2019

    Varón de 51 años con visión doble binocular vertical, que desaparece con la visión monocular, de meses de evolución, continua y estable, sin empeoramiento por la noche, al estar más cansado.. y sin otra focalidad neurológica...
    Caso completo | PDF

    Neurología: NeurooftalmologiaEtiología: Malformación vascularDiagnóstico final: Angioma cavernoso. CavernomaNivel de certeza:
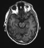
  • Ana Isabel López Amorós | 16-Jan-2019

    Mujer de 66 años que consulta por deterioro cognitivo de dos meses de evolución. Refiere  alteración  de la memoria, cambios de conducta que interfieren en sus funciones instrumentales, cefalea holocraneal y dificultad para expresarse.  Exploración física y...
    Caso completo | PDF

    Neurología: NeurooncologíaEtiología: NeoplasiasDiagnóstico final: Meningioma meningoepitelialNivel de certeza:

Páginas

El acceso a Neurorecordings está restringido a médicos, y hace uso del sistema de validación de la plataforma Navandú. Si aún no dispone de usuario es necesario proceder previamente a su registro.

Para cualquier consulta puede dirigirse al Centro de Atención Navandú.

El acceso a Neurorecordings está restringido a médicos, y hace uso del sistema de validación de la plataforma Navandú. Si aún no dispone de usuario es necesario proceder previamente a su registro.

Para cualquier consulta puede dirigirse al Centro de Atención Navandú.

Para iniciar sesión y registrarse en Neurorecordings, le vamos a redirigir a la plataforma de validación profesional de Navandu.

AVISO
Está saliendo del sitio web de Neurorecordings. Este enlace le llevará a un sitio web en el que no se aplica nuestra Política de Privacidad. Usted es el único responsable de sus interacciones con ese sitio web.