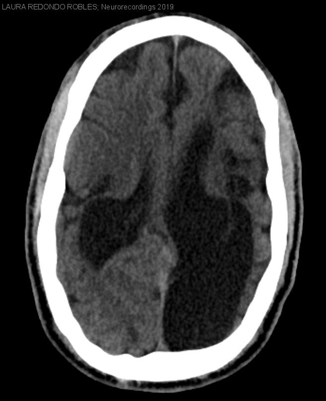
Hidrocefalia ex vacuo

Hidrocefalia ex vacuo

Hombre | 32 años
Diagnóstico final: Hidrocefalia ex vacuo
Nivel de certeza:
Neurología: Otros
Etiología: Otros
LAURA REDONDO ROBLES - Hospital Universitario De Salamanca
20-Mar-2019

Resumen del caso

Paciente de 32 años con antecedente de encefalopatía connatal con retraso mental moderado que presentó su primera crisis epiléptica tónico-clónica en julio de 2017; por este motivo se le realizó una TAC craneal que demostró...


Para ver el contenido completo debe estar registrado

Haga click aquí para iniciar sesión o registrarse

El acceso a Neurorecordings está restringido a médicos, y hace uso del sistema de validación de la plataforma Navandú. Si aún no dispone de usuario es necesario proceder previamente a su registro.

Para cualquier consulta puede dirigirse al Centro de Atención Navandú.

Para iniciar sesión y registrarse en Neurorecordings, le vamos a redirigir a la plataforma de validación profesional de Navandu.

AVISO
Está saliendo del sitio web de Neurorecordings. Este enlace le llevará a un sitio web en el que no se aplica nuestra Política de Privacidad. Usted es el único responsable de sus interacciones con ese sitio web.