Encefalopatía rápidamente progresiva
Encefalopatía rápidamente progresiva
Hombre | 83 años
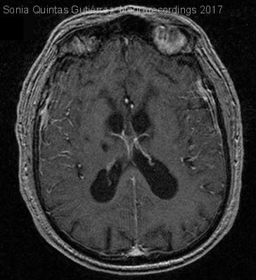
Diagnóstico final: Carcinomatosis meningea
Nivel de certeza: 




Neurología: Neurooncología
Etiología: Neoplasias
Sonia Quintas Gutiérrez - Hospital Universitario De La Princesa
Julio Dotor García-Soto
16-Jan-2019
Resumen del caso
Varón de 83 años, con hipertensión arterial, dislipemia y diabetes mellitus. Ingresó por cuadro progresivo de dos semanas de somnoliencia. No había presentado fiebre ni sintomatología infecciosa. Refería desde hacía 3 meses astenia e hiporexia progresivas. En...
Para ver el contenido completo debe estar registrado
Haga click aquí para iniciar sesión o registrarse

El acceso a Neurorecordings está restringido a médicos, y hace uso del sistema de validación de la plataforma Navandú. Si aún no dispone de usuario es necesario proceder previamente a su registro.
Para cualquier consulta puede dirigirse al Centro de Atención Navandú.
Para iniciar sesión y registrarse en Neurorecordings, le vamos a redirigir a la plataforma de validación profesional de Navandu.
AVISO
Está saliendo del sitio web de Neurorecordings. Este enlace le llevará a un sitio web en el que no se aplica nuestra Política de Privacidad. Usted es el único responsable de sus interacciones con ese sitio web.
