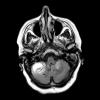
• Alberto Lozano Ros | 02-Feb-2016

    Mujer de 81 años con antecedentes personales de hipertensión arterial, hepatopatía colestásica autoinmune y cavernomatosis múltiple hereditaria. Acude al servicio de Urgencias por presentar de forma brusca un cuadro clínico de disartria, diplopía en la...
    Caso completo | PDF
    Neurología: Patología cerebrovascularEtiología: Malformación vascularDiagnóstico final: Hematoma intraparenquimatoso cerebeloso derecho secundario a trombopenia autoinmune. Cavernomatosis múltiple hereditaria.Nivel de certeza:
  • Raúl Gutiérrez Ríos | 22-Jan-2016

    Mujer de 71 años con antecedentes de DM tipo 2, HTA y asma bronquial. En el último año presenta episodios recurrentes de disfonía por lo que se encontraba en tratamiento con foniatría, desde donde es...
    Caso completo | PDF
    Neurología: Patología cerebrovascular | OtrosEtiología: Anatomía. Variantes de la normalidadDiagnóstico final: Paresia combinada de nervios craneales XI y XII (síndrome de Tapia)Nivel de certeza:
  • Abel Diaz Diaz | 22-Jan-2016

    Mujer de 65 años con antecedentes personales de hipertensión, dislipemia y diabetes mellitus tipo 2 en tratamiento con insulina y antidiabéticos orales. Acude al servicio de urgencias por bajo nivel de conciencia de varias horas...
    Caso completo | PDF

    Neurología: OtrosEtiología: MetabólicoDiagnóstico final: HipoglucemiaNivel de certeza:
  • Susana López Gallardo | 14-Jan-2016

    Paciente en Dialisis Peritoneal por nefroangioesclerosis (HTA de larga evolución). 

    Presenta cuadro de somnolencia excesiva, por lo que acude a urgencias donde se valora en TAC cerebral hidrocefalia y signos de otomastoiditis izquierdas. Ante la sospecha...
    Caso completo | PDF

    Neurología: InfecciosasEtiología: Infecciosas / inflamatoria / desmielinizanteDiagnóstico final: Meningitis ventriculitis Neumocócica. Status epiléptico generalizado. Otomastoiditis.Nivel de certeza:
  • Elena Rivero Sanz | 14-Jan-2016

    Señor de 37 años con antecedentes de hipertensión y dislipemia acude a Urgencias por pérdida brusca de conciencia con Glasgow de 6 (M3V2O1) teniendo que realizar intubación orotraqueal. A la exploración destacaba midriasis y arreactividad...
    Caso completo | PDF
    Neurología: Neurooncología | OtrosEtiología: Neoplasias | OtrosDiagnóstico final: Osteocondroma de clivusNivel de certeza:
  • Lucía Frade Pardo | 12-Jan-2016

    Mujer de 52 años con antecedente de retraso  psicomotor no filiado, SDABVD con comunicación con su familia y que acude a centro de día. Acude a Urgencias por comportamiento extraño, mirada perdida y afectación global...
    Caso completo | PDF

    Neurología: EpilepsiaEtiología: OtrosDiagnóstico final: Estatus epiléptico no convulsivo. Epilepsia focal del lóbulo temporal izquierdo secundaria a esclerosis del hipocampo.Nivel de certeza:
  • Abel Diaz Diaz | 19-Dec-2015

    Varón de 74 años con antecedentes personales de diabetes mellitus tipo 2 con nefropatía diabética, ingresado en el servicio de Oncología por carcinoma pulmonar epidermoide. Refiere que desde hace 3 días no puede mover la...
    Caso completo | PDF
    Neurología: NeurooncologíaEtiología: NeoplasiasDiagnóstico final: Parálisis aislada del nervio hipogloso de causa metastásicaNivel de certeza:
  • Maria Dolores Torrecillas Narváez | 18-Dec-2015

    Paciente que debuta con cefalea de semiología compatible con migraña común episódica, de alta intensidad.

    Se realiza RMN cerebral, sin datos que sugieran etiología secundaria. Como hallazgo incidental se valoran quistes de hipocampo bilaterales. 

    Los quistes de...
    Caso completo | PDF

    Neurología: Anatomía. Variantes de la normalidadEtiología: Anatomía. Variantes de la normalidadDiagnóstico final: Quiste de hipocampoNivel de certeza:
  • Roberto López Blanco | 18-Dec-2015

    Mujer de 55 años acude por mareo y diplopia vertical de 5 horas de evolución. Entre sus antecedentes, hipertensión arterial no controlada, obesidad, cefalea tensional, esteatosis hepática, roncadora (sospecha de síndrome de apnea/hipopnea del...
    Caso completo | PDF
    Neurología: Patología cerebrovascular | NeurooftalmologiaEtiología: IctusDiagnóstico final: Ictus isquémico mesencefálico-pontino paramediano derecho incompletoNivel de certeza:
  • Susana López Gallardo | 25-Nov-2015

    Paciente que presenta cuadro pseudogripal, adenopatías dolorosas submandibulares y cuello, odinofagia y astenia severa y movilización de transaminasas hepáticas. Tras dos visitas a urgencias, se realiza test de Paul-Bunnell, que apoya el diagnóstico Mononucleosis Infecciosa...
    Caso completo | PDF
    Neurología: InfecciosasEtiología: Infecciosas / inflamatoria / desmielinizanteDiagnóstico final: Neuropatía del Nervio Hipogloso secundario a infección virus Epstein BarrNivel de certeza:
  • Marta Maria Martinez Martinez | 27-Oct-2015

    AP: Fumador 15 cig/dia , no enolismo. Dispepsia en estudio por digestivo, pendiente de endoscopia, esteatosis hepatica en eco reciente. El paciente refiere inestabilidad y disartria fluctuante subaguda. Ha consultado a atencion primaria siendo tratado...
    Caso completo | PDF
    Neurología: NeurooncologíaEtiología: NeoplasiasDiagnóstico final: CArcinomatosis meningea por posible carcinoma gástricoNivel de certeza:
  • Mª Teresa Rivas López | 27-Oct-2015

    Paciente con antecedentes de cefalea tensional, que acude a Urgencias por cefalea intensa retro-orbitaria y frontal derecha, precedida de luces y fotofobia. Remitido a consultas de Neurología, donde la exploración neurológica es normal y en...
    Caso completo | PDF
    Neurología: Anatomía. Variantes de la normalidadEtiología: Anatomía. Variantes de la normalidadDiagnóstico final: Fenestración de la arteria basilarNivel de certeza:

Páginas

El acceso a Neurorecordings está restringido a médicos, y hace uso del sistema de validación de la plataforma Navandú. Si aún no dispone de usuario es necesario proceder previamente a su registro.

Para cualquier consulta puede dirigirse al Centro de Atención Navandú.

Para iniciar sesión y registrarse en Neurorecordings, le vamos a redirigir a la plataforma de validación profesional de Navandu.

AVISO
Está saliendo del sitio web de Neurorecordings. Este enlace le llevará a un sitio web en el que no se aplica nuestra Política de Privacidad. Usted es el único responsable de sus interacciones con ese sitio web.