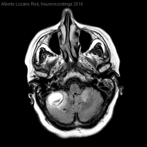
Hematoma cerebeloso. Trombopenia severa autoinmune en paciente con cavernomatosis múltiple hereditaria
Hematoma cerebeloso. Trombopenia severa autoinmune en paciente con cavernomatosis múltiple hereditaria
Mujer | 81 años
Diagnóstico final: Hematoma intraparenquimatoso cerebeloso derecho secundario a trombopenia autoinmune. Cavernomatosis múltiple hereditaria.
Nivel de certeza: 




Neurología: Patología cerebrovascular
Etiología: Malformación vascular
Alberto Lozano Ros - Hospital General Universitario Gregorio Marañón
02-Feb-2016
Resumen del caso
Para ver el contenido completo debe estar registrado
Haga click aquí para iniciar sesión o registrarse

El acceso a Neurorecordings está restringido a médicos, y hace uso del sistema de validación de la plataforma Navandú. Si aún no dispone de usuario es necesario proceder previamente a su registro.
Para cualquier consulta puede dirigirse al Centro de Atención Navandú.
Para iniciar sesión y registrarse en Neurorecordings, le vamos a redirigir a la plataforma de validación profesional de Navandu.
AVISO
Está saliendo del sitio web de Neurorecordings. Este enlace le llevará a un sitio web en el que no se aplica nuestra Política de Privacidad. Usted es el único responsable de sus interacciones con ese sitio web.
