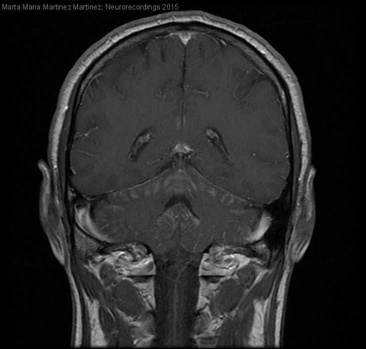
Carcinomatosis meningea

Carcinomatosis meningea

Hombre | 54 años
Diagnóstico final: CArcinomatosis meningea por posible carcinoma gástrico
Nivel de certeza:
Neurología: Neurooncología
Etiología: Neoplasias
Marta Maria Martinez Martinez - Hospital Universitario Infanta Sofía
Ignacio Alba de Caceres. UCR. H. U. Infanta Sofía
27-Oct-2015

Resumen del caso

AP: Fumador 15 cig/dia , no enolismo. Dispepsia en estudio por digestivo, pendiente de endoscopia, esteatosis hepatica en eco reciente. El paciente refiere inestabilidad y disartria fluctuante subaguda. Ha consultado a atencion primaria siendo tratado...

Para ver el contenido completo debe estar registrado

Haga click aquí para iniciar sesión o registrarse

El acceso a Neurorecordings está restringido a médicos, y hace uso del sistema de validación de la plataforma Navandú. Si aún no dispone de usuario es necesario proceder previamente a su registro.

Para cualquier consulta puede dirigirse al Centro de Atención Navandú.

Para iniciar sesión y registrarse en Neurorecordings, le vamos a redirigir a la plataforma de validación profesional de Navandu.

AVISO
Está saliendo del sitio web de Neurorecordings. Este enlace le llevará a un sitio web en el que no se aplica nuestra Política de Privacidad. Usted es el único responsable de sus interacciones con ese sitio web.