No te olvides de los hongos
No te olvides de los hongos
Hombre | 49 años
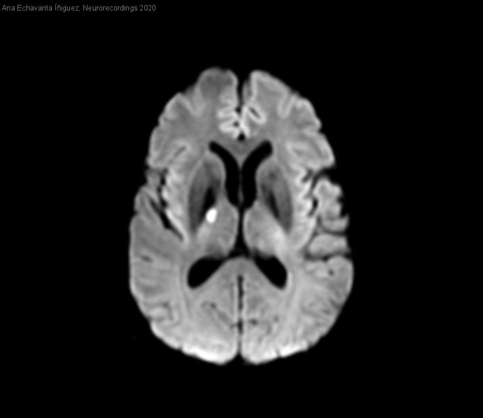
Diagnóstico final: Enfermedad diseminada por Cryptococcus neoformans (meningoencefalitis y diseminación hematógena). Infección por VIH.
Nivel de certeza: 




Neurología: Infecciosas
Etiología: Infecciosas / inflamatoria / desmielinizante
Ana Echavarría Íñiguez - Hospital Universitario de Burgos
Gonzalo Gámez-Leyva Hernández
23-Jun-2021
Resumen del caso
Varón 49 años, consumidor de cannabis y hachis, fumador de 20 cigarrilos/día, sin otros antecedentes de interés. Presenta cuadro de cefalea holocraneal de una semana de evolución, afasia motora de horas de evolución, febrícula e...
Para ver el contenido completo debe estar registrado
Haga click aquí para iniciar sesión o registrarse

El acceso a Neurorecordings está restringido a médicos, y hace uso del sistema de validación de la plataforma Navandú. Si aún no dispone de usuario es necesario proceder previamente a su registro.
Para cualquier consulta puede dirigirse al Centro de Atención Navandú.
Para iniciar sesión y registrarse en Neurorecordings, le vamos a redirigir a la plataforma de validación profesional de Navandu.
AVISO
Está saliendo del sitio web de Neurorecordings. Este enlace le llevará a un sitio web en el que no se aplica nuestra Política de Privacidad. Usted es el único responsable de sus interacciones con ese sitio web.
