Amnesia global transitoria como presentación de endocarditis marántica
Amnesia global transitoria como presentación de endocarditis marántica
Hombre | 46 años
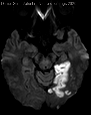
Diagnóstico final: Amnesia isquémica debida a ictus en múltiples territorios vasculares en contexto de endocarditis marántica
Nivel de certeza: 




Neurología: Patología cerebrovascular
Etiología: Ictus
Daniel Gallo Valentín - Hospital Universitario Marqués De Valdecilla
Jorge Madera Fernández
07-Mar-2021
Resumen del caso
Varón de 46 años con antecedentes de hipertensión arterial y síndrome de Lynch con adenocarcinoma de sigma tratado mediante sigmoidectomía y quimioterapia adyuvante. El paciente, que presenta febrícula vespertina de un mes de evolución sin...
Para ver el contenido completo debe estar registrado
Haga click aquí para iniciar sesión o registrarse

El acceso a Neurorecordings está restringido a médicos, y hace uso del sistema de validación de la plataforma Navandú. Si aún no dispone de usuario es necesario proceder previamente a su registro.
Para cualquier consulta puede dirigirse al Centro de Atención Navandú.
Para iniciar sesión y registrarse en Neurorecordings, le vamos a redirigir a la plataforma de validación profesional de Navandu.
AVISO
Está saliendo del sitio web de Neurorecordings. Este enlace le llevará a un sitio web en el que no se aplica nuestra Política de Privacidad. Usted es el único responsable de sus interacciones con ese sitio web.
