Cefalea en trueno. Cuando el estudio neurosonológico es la clave diagnóstica
Cefalea en trueno. Cuando el estudio neurosonológico es la clave diagnóstica
Mujer | 46 años
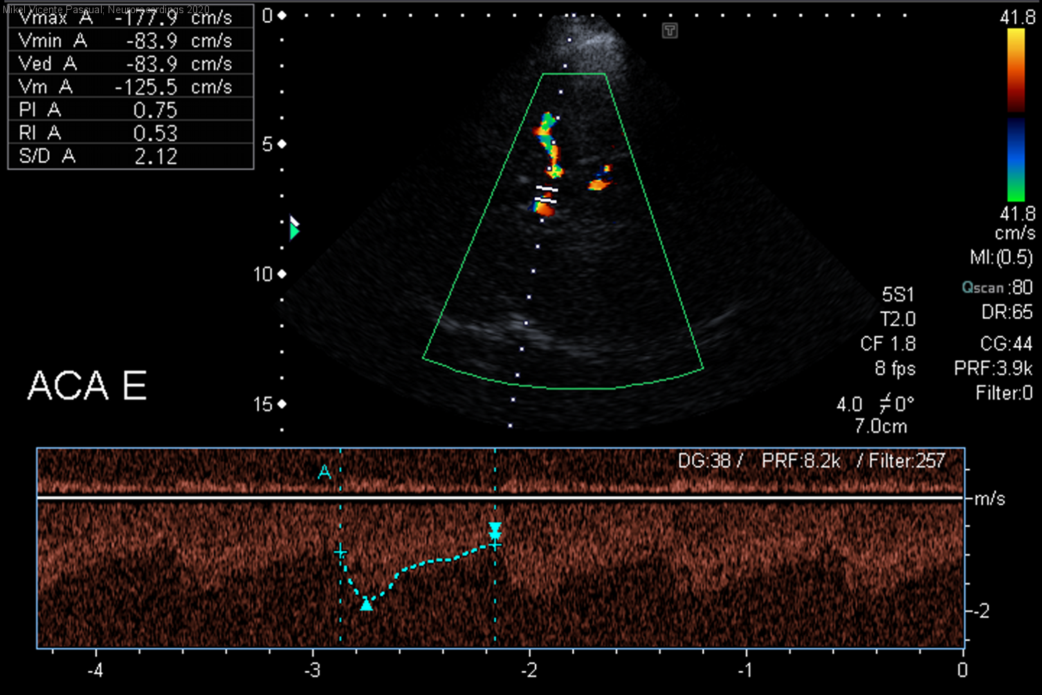
Diagnóstico final: Síndrome de vasoconstricción cerebral reversible
Nivel de certeza: 




Neurología: Patología cerebrovascular | Cefalea
Etiología: Otros
Mikel Vicente Pascual - Hospital Universitari Arnau De Vilanova De Lleida
Cristina Molins Rojas
25-Nov-2020
Resumen del caso
Mujer de 46 años valorada por 3 episodios de cefalea,de inicio súbito, alcanzando un EVA 10/10 a los pocos segundos. El dolor se localizaba en zona occipital y frontal, de características pulsátiles, acompañada de náuseas, vómitos...
Para ver el contenido completo debe estar registrado
Haga click aquí para iniciar sesión o registrarse

El acceso a Neurorecordings está restringido a médicos, y hace uso del sistema de validación de la plataforma Navandú. Si aún no dispone de usuario es necesario proceder previamente a su registro.
Para cualquier consulta puede dirigirse al Centro de Atención Navandú.
Para iniciar sesión y registrarse en Neurorecordings, le vamos a redirigir a la plataforma de validación profesional de Navandu.
AVISO
Está saliendo del sitio web de Neurorecordings. Este enlace le llevará a un sitio web en el que no se aplica nuestra Política de Privacidad. Usted es el único responsable de sus interacciones con ese sitio web.
