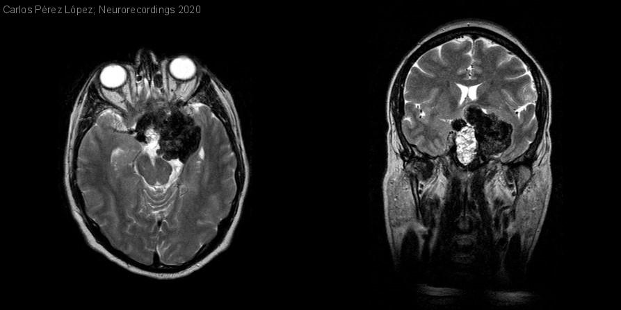
Prolactinoma gigante calcificado
Prolactinoma gigante calcificado
Hombre | 63 años
Diagnóstico final: Prolactinoma
Nivel de certeza: 




Neurología: Neurooncología | Neurooftalmologia
Etiología: Neoplasias
carlos perez lopez - Hospital Universitario La Paz
María José Abenza Abildua
25-Nov-2020
Resumen del caso
Varón de 63 años, con antecedentes de hipercolesterolemia, hipertensión arterial e hipotiroidismo primario autoinmune, refiere pérdida visual progresiva de dos años de evolución. La campimetría muestra déficit temporal en el ojo derecho y amaurosis del...
Para ver el contenido completo debe estar registrado
Haga click aquí para iniciar sesión o registrarse

El acceso a Neurorecordings está restringido a médicos, y hace uso del sistema de validación de la plataforma Navandú. Si aún no dispone de usuario es necesario proceder previamente a su registro.
Para cualquier consulta puede dirigirse al Centro de Atención Navandú.
Para iniciar sesión y registrarse en Neurorecordings, le vamos a redirigir a la plataforma de validación profesional de Navandu.
AVISO
Está saliendo del sitio web de Neurorecordings. Este enlace le llevará a un sitio web en el que no se aplica nuestra Política de Privacidad. Usted es el único responsable de sus interacciones con ese sitio web.
