Síndrome hemisférico izquierdo agudo ¿Causa vascular o stroke mimic?
Síndrome hemisférico izquierdo agudo ¿Causa vascular o stroke mimic?
Hombre | 59 años
Diagnóstico final: Glioblastoma
Nivel de certeza: 




Neurología: Neurooncología
Etiología: Neoplasias
Laura María Pérez Navarro - Hospital Universitario Insular De Gran Canaria
Idaira Martín Santana
25-Nov-2020
Resumen del caso
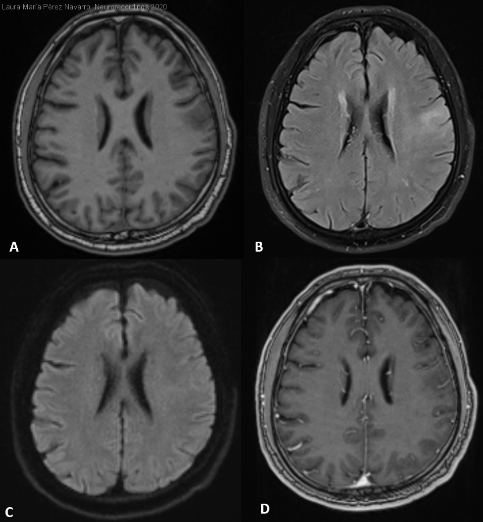
Varón de 59 años, con factores de riesgo cardiovascular que, tras cuadro catarral, presenta clínica brusca de dificultad para la emisión de palabras y torpeza en extremidades derechas.
Exploración: afasia motora, parálisis facial central derecha y mioclonías...
Para ver el contenido completo debe estar registrado
Haga click aquí para iniciar sesión o registrarse

El acceso a Neurorecordings está restringido a médicos, y hace uso del sistema de validación de la plataforma Navandú. Si aún no dispone de usuario es necesario proceder previamente a su registro.
Para cualquier consulta puede dirigirse al Centro de Atención Navandú.
Para iniciar sesión y registrarse en Neurorecordings, le vamos a redirigir a la plataforma de validación profesional de Navandu.
AVISO
Está saliendo del sitio web de Neurorecordings. Este enlace le llevará a un sitio web en el que no se aplica nuestra Política de Privacidad. Usted es el único responsable de sus interacciones con ese sitio web.
