VASCULITIS DEL SISTEMA NERVIOSO CENTRAL EN UN CASO DE LUPUS SISTÉMICO
VASCULITIS DEL SISTEMA NERVIOSO CENTRAL EN UN CASO DE LUPUS SISTÉMICO
Mujer | 45 años
Diagnóstico final: Vasculitis del sistema nervioso central en paciente con Lupus sistémico (LES)
Nivel de certeza: 




Neurología: Patología cerebrovascular
Etiología: Ictus | Autoinmune / sistémico
Nerea García Alvarado - Hospital Virgen De La Salud
Fernando Ayuga Loro
17-Jul-2020
Resumen del caso
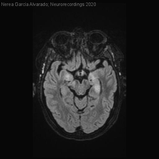
Mujer de 45 años con antecedentes de artritis asimétrica, presenta un cuadro agudo de afasia logopénica y hemiparesia derecha de predominio crural. Se realiza TAC multimodal sin signos de lesión isquémica aguda ni defectos de replección....
Para ver el contenido completo debe estar registrado
Haga click aquí para iniciar sesión o registrarse

El acceso a Neurorecordings está restringido a médicos, y hace uso del sistema de validación de la plataforma Navandú. Si aún no dispone de usuario es necesario proceder previamente a su registro.
Para cualquier consulta puede dirigirse al Centro de Atención Navandú.
Para iniciar sesión y registrarse en Neurorecordings, le vamos a redirigir a la plataforma de validación profesional de Navandu.
AVISO
Está saliendo del sitio web de Neurorecordings. Este enlace le llevará a un sitio web en el que no se aplica nuestra Política de Privacidad. Usted es el único responsable de sus interacciones con ese sitio web.
