Cefalea y sordera súbitas previa a cirugía obstétrica
Cefalea y sordera súbitas previa a cirugía obstétrica
Mujer | 69 años
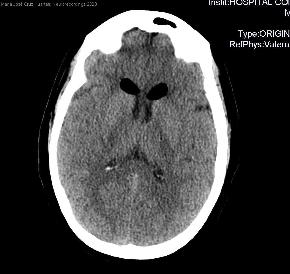
Diagnóstico final: NEUMOENCÉFALO SECUNDARIO A ANESTESIA INTRARRAQUÍDEA
Nivel de certeza: 




Neurología: Cefalea
Etiología: Tóxica-yatrogenia
Maria José Cruz Huertas - Hospital Comarcal Del Noroeste De La Región De Murcia
Sanz Monllor, Ainara
17-Jul-2020
Resumen del caso
Mujer de 69 años, diabetica y dislipémica. Física y cognitivamente independiente.
La paciente es sometida a histerectomía via vaginal como tratamiento de prolapso uterino y cistocele, para lo cual se decide aplicación de anestesia loco-regional intratecal....
Para ver el contenido completo debe estar registrado
Haga click aquí para iniciar sesión o registrarse

El acceso a Neurorecordings está restringido a médicos, y hace uso del sistema de validación de la plataforma Navandú. Si aún no dispone de usuario es necesario proceder previamente a su registro.
Para cualquier consulta puede dirigirse al Centro de Atención Navandú.
Para iniciar sesión y registrarse en Neurorecordings, le vamos a redirigir a la plataforma de validación profesional de Navandu.
AVISO
Está saliendo del sitio web de Neurorecordings. Este enlace le llevará a un sitio web en el que no se aplica nuestra Política de Privacidad. Usted es el único responsable de sus interacciones con ese sitio web.
