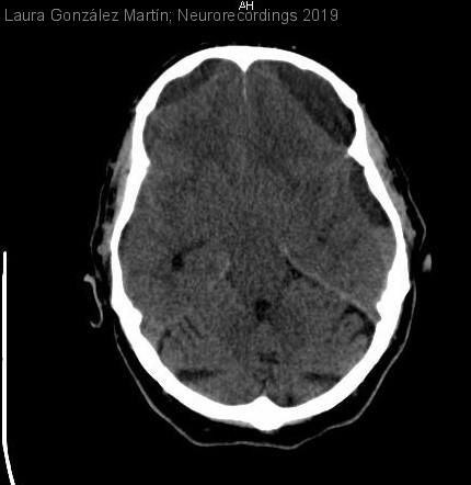
Hematoma subdural bilateral espontáneo con niveles

Hematoma subdural bilateral espontáneo con niveles

Hombre | 84 años
Diagnóstico final: Hematoma subdural bilateral espontáneo agudo sobre crónico
Nivel de certeza:
Neurología: Otros
Etiología: Criptogénico
Laura González Martín - Hospital Universitario Infanta Sofía
Gerardo Gutiérrez-Gutiérrez
17-Jul-2020

Resumen del caso

Varón de 84 años con deterioro del nivel de conciencia.

Antecedentes personales: hipertenso y diabético; artropatía psoriásica, vitíligo, hiperuricemia, hipertrofia benigna de próstata y pustulosis psoriasiforme.

Vive en domicilio con su hija, independiente y sin deterioro cognitivo.

Exploración...


Para ver el contenido completo debe estar registrado

Haga click aquí para iniciar sesión o registrarse

El acceso a Neurorecordings está restringido a médicos, y hace uso del sistema de validación de la plataforma Navandú. Si aún no dispone de usuario es necesario proceder previamente a su registro.

Para cualquier consulta puede dirigirse al Centro de Atención Navandú.

Para iniciar sesión y registrarse en Neurorecordings, le vamos a redirigir a la plataforma de validación profesional de Navandu.

AVISO
Está saliendo del sitio web de Neurorecordings. Este enlace le llevará a un sitio web en el que no se aplica nuestra Política de Privacidad. Usted es el único responsable de sus interacciones con ese sitio web.