Enfermedad de moyamoya como causa inhabitual de ictus y epilepsia en paciente joven
Enfermedad de moyamoya como causa inhabitual de ictus y epilepsia en paciente joven
Mujer | 31 años
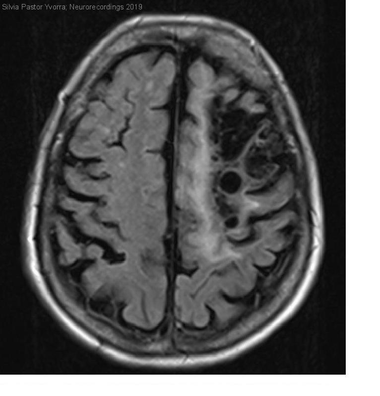
Diagnóstico final: Infarto cerebral en territorio de la arteria cerebral media izquierda de causa inhabitual. Epilepsia focal frontal izquierda
Nivel de certeza: 




Neurología: Epilepsia | Patología cerebrovascular
Etiología: Ictus | Malformación vascular | Genético / idiopático
Silvia Pastor Yvorra - Hospital Nuestra Señora De Sonsoles
Ana Belén Caminero Rodríguez
04-Apr-2021
Resumen del caso
Paciente con infarto cerebral antiguo en territorio de arteria cerebral media izquierda (ACM-I) y epilepsia focal de etiología lesional, acude para estudio etiológico de sus patologías neurológicas. En la exploración se objetiva hipoestesia táctil protopática...
Para ver el contenido completo debe estar registrado
Haga click aquí para iniciar sesión o registrarse

El acceso a Neurorecordings está restringido a médicos, y hace uso del sistema de validación de la plataforma Navandú. Si aún no dispone de usuario es necesario proceder previamente a su registro.
Para cualquier consulta puede dirigirse al Centro de Atención Navandú.
Para iniciar sesión y registrarse en Neurorecordings, le vamos a redirigir a la plataforma de validación profesional de Navandu.
AVISO
Está saliendo del sitio web de Neurorecordings. Este enlace le llevará a un sitio web en el que no se aplica nuestra Política de Privacidad. Usted es el único responsable de sus interacciones con ese sitio web.
