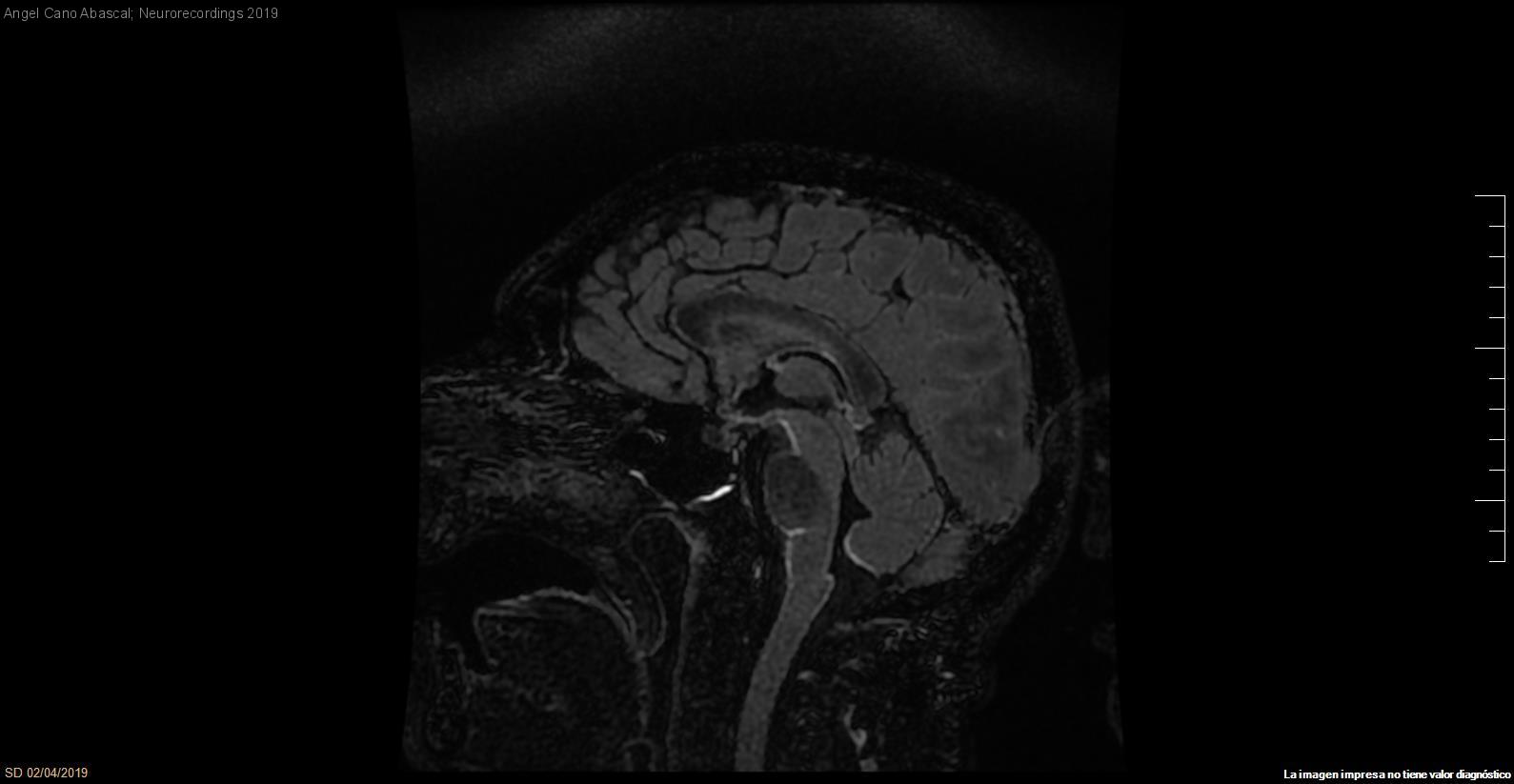
Afectación leptomeníngea secundaria a meningoencefalitis de origen tuberculoso

Afectación leptomeníngea secundaria a meningoencefalitis de origen tuberculoso

Hombre | 63 años
Diagnóstico final: Meningoencefalitis tuberculosa
Nivel de certeza:
Neurología: Infecciosas
Etiología: Infecciosas / inflamatoria / desmielinizante
Angel Cano Abascal - Hospital Universitario Marqués De Valdecilla
Adrián García Hernández
27-Jul-2020

Resumen del caso

Varón de 63 años en tratamiento con Infliximab por artritis reumatoide, que consulta por cuadro de 10 días de evolución de cefalea, febrícula y náuseas a lo que añade posteriormente alteración del lenguaje y fluctuación del...


Para ver el contenido completo debe estar registrado

Haga click aquí para iniciar sesión o registrarse

El acceso a Neurorecordings está restringido a médicos, y hace uso del sistema de validación de la plataforma Navandú. Si aún no dispone de usuario es necesario proceder previamente a su registro.

Para cualquier consulta puede dirigirse al Centro de Atención Navandú.

Para iniciar sesión y registrarse en Neurorecordings, le vamos a redirigir a la plataforma de validación profesional de Navandu.

AVISO
Está saliendo del sitio web de Neurorecordings. Este enlace le llevará a un sitio web en el que no se aplica nuestra Política de Privacidad. Usted es el único responsable de sus interacciones con ese sitio web.