Meningitis carcinomatosa

Meningitis carcinomatosa

Mujer | 70 años
Diagnóstico final: Carcinomatosis meningea
Nivel de certeza:
Neurología: Neurooncología
Etiología: Neoplasias
Maria Jose Abenza Abildua - Hospital Universitario Infanta Sofía
Elena Capilla Cabezuelo
04-Sep-2020

Resumen del caso

Antecedentes: DM-2. Enfermedad de Crohn (tto con Mesalazina). 

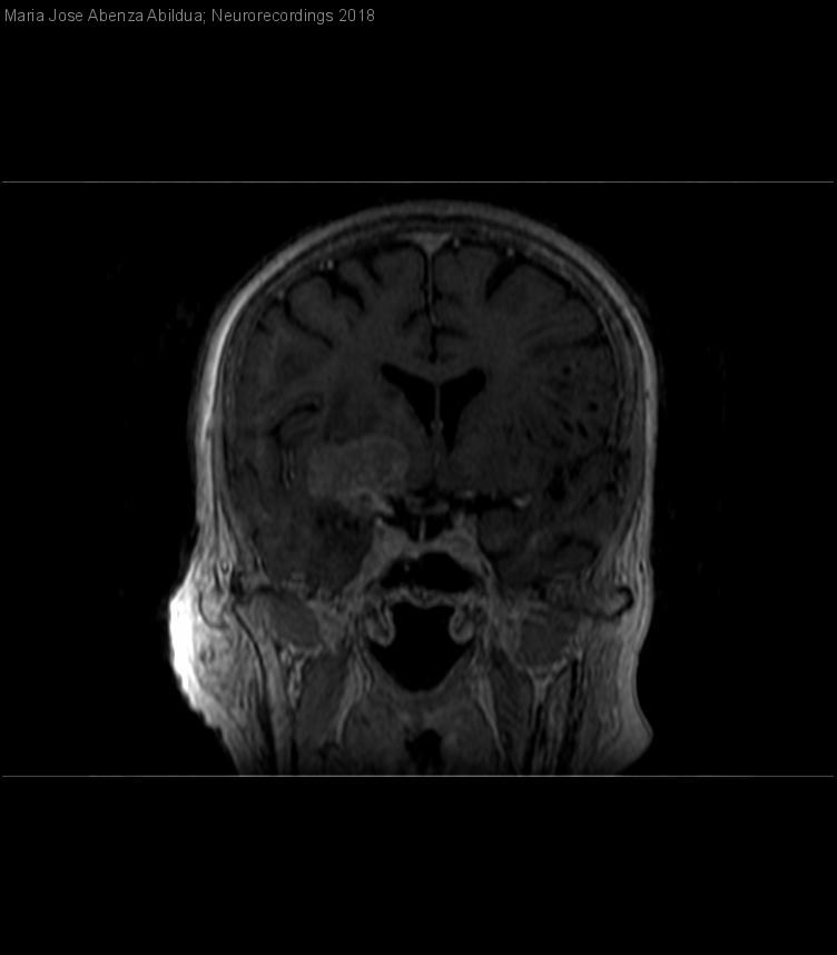
Estado actual: Mujer de 70 años, diagnóstico reciente de Leucemia linfática crónica vs linfoma linfocítico de célula pequeña estadio O/A, sin tratamiento. En estudio de extensión de observan LOES cerebrales....


Para ver el contenido completo debe estar registrado

Haga click aquí para iniciar sesión o registrarse

El acceso a Neurorecordings está restringido a médicos, y hace uso del sistema de validación de la plataforma Navandú. Si aún no dispone de usuario es necesario proceder previamente a su registro.

Para cualquier consulta puede dirigirse al Centro de Atención Navandú.

Para iniciar sesión y registrarse en Neurorecordings, le vamos a redirigir a la plataforma de validación profesional de Navandu.

AVISO
Está saliendo del sitio web de Neurorecordings. Este enlace le llevará a un sitio web en el que no se aplica nuestra Política de Privacidad. Usted es el único responsable de sus interacciones con ese sitio web.