Ictus isquémico en paciente con prolactinoma gigante
Ictus isquémico en paciente con prolactinoma gigante
Hombre | 54 años
Diagnóstico final: Ictus isquémico agudo
Nivel de certeza: 




Neurología: Patología cerebrovascular | Neurooncología
Etiología: Ictus | Neoplasias
Alba López Bravo - Hospital Clínico Universitario Lozano Blesa
Sonia Santos Lasaosa
04-May-2019
Resumen del caso
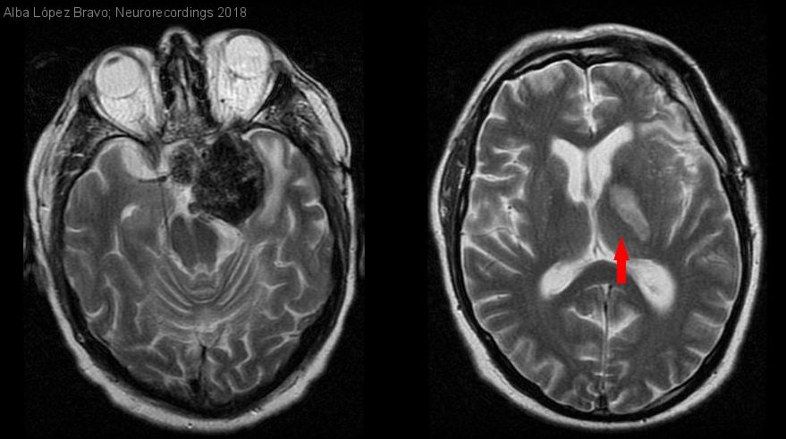
Se presenta el caso clínico de un varón de 54 años con antecedente de un macroprolactinoma gigante calcificado intervenido en dos ocasiones, con resección parcial de la tumoración. Acude a Urgencias por presentar de forma...
Para ver el contenido completo debe estar registrado
Haga click aquí para iniciar sesión o registrarse

El acceso a Neurorecordings está restringido a médicos, y hace uso del sistema de validación de la plataforma Navandú. Si aún no dispone de usuario es necesario proceder previamente a su registro.
Para cualquier consulta puede dirigirse al Centro de Atención Navandú.
Para iniciar sesión y registrarse en Neurorecordings, le vamos a redirigir a la plataforma de validación profesional de Navandu.
AVISO
Está saliendo del sitio web de Neurorecordings. Este enlace le llevará a un sitio web en el que no se aplica nuestra Política de Privacidad. Usted es el único responsable de sus interacciones con ese sitio web.
