Meningitis neumocócica aguda por encefalocele nasal

Meningitis neumocócica aguda por encefalocele nasal

Hombre | 41 años
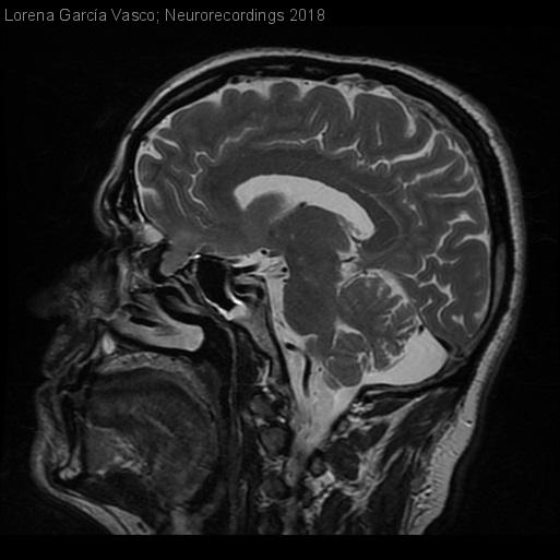
Diagnóstico final: Meningitis bacteriana aguda por Neumococo secundaria a encefalocele nasal y fístula de LCR
Nivel de certeza:
Neurología: Infecciosas
Etiología: Infecciosas / inflamatoria / desmielinizante | Otros
Lorena García Vasco - Hospital Universitario Príncipe De Asturias
02-Nov-2018

Resumen del caso

Albañil de 41 años, con antecedentes de cirugía de poliposis nasal 4 años antes (cirugía endoscópica nasosinusal con septoplastia). No tratamiento habitual. Acude a urgencias por cuadro de malestar general, cefalea frontal con cervicalgia, vómitos y fiebre de hasta 38,5ºC de dos días de...


Para ver el contenido completo debe estar registrado

Haga click aquí para iniciar sesión o registrarse

El acceso a Neurorecordings está restringido a médicos, y hace uso del sistema de validación de la plataforma Navandú. Si aún no dispone de usuario es necesario proceder previamente a su registro.

Para cualquier consulta puede dirigirse al Centro de Atención Navandú.

Para iniciar sesión y registrarse en Neurorecordings, le vamos a redirigir a la plataforma de validación profesional de Navandu.

AVISO
Está saliendo del sitio web de Neurorecordings. Este enlace le llevará a un sitio web en el que no se aplica nuestra Política de Privacidad. Usted es el único responsable de sus interacciones con ese sitio web.