'Amyloid spells', más allá del origen isquémico o comicial de los trastornos paroxísticos
'Amyloid spells', más allá del origen isquémico o comicial de los trastornos paroxísticos
Hombre | 78 años
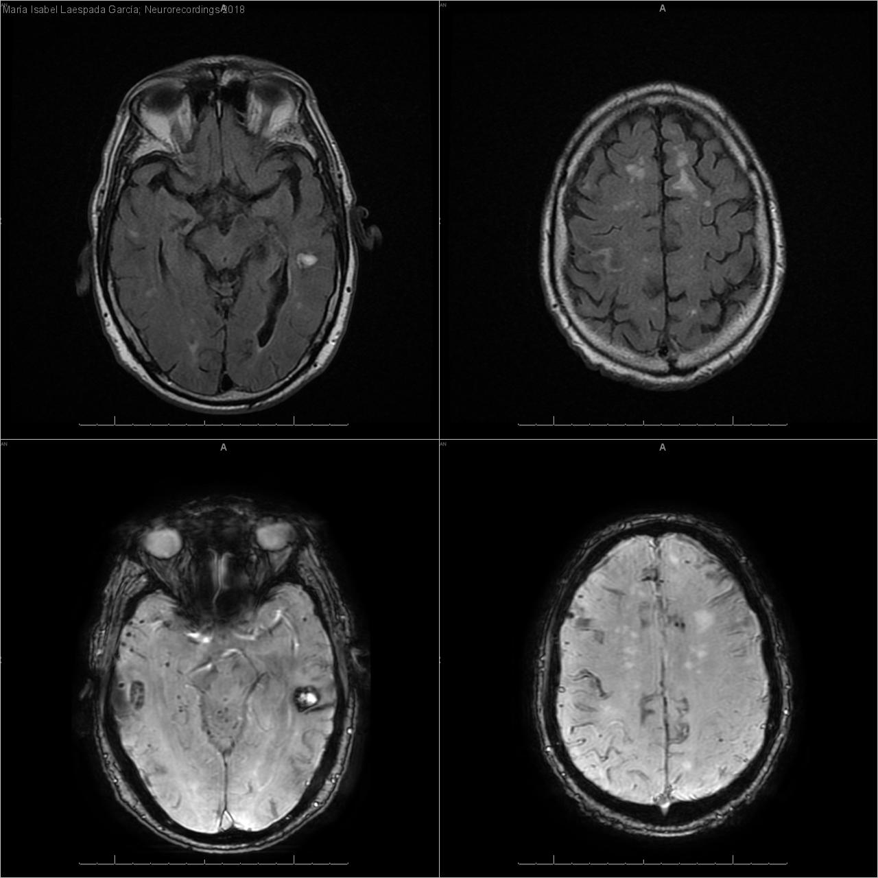
Diagnóstico final: Angiopatía amiloide cerebral
Nivel de certeza: 




Neurología: Patología cerebrovascular
Etiología: Ictus
María Isabel Laespada García - Hospital Universitario 12 De Octubre
Mariano Ruiz Ortiz - Hospital Universitario 12 De Octubre
25-Mar-2019
Resumen del caso
Varón de 78 años con antecedentes de hipertensión arterial en tratamiento farmacológico, glucemia alterada en ayunas, deterioro cognitivo leve de etiología mixta (vascular +/- degenerativa primaria) y episodio de neuralgia del trigémino derecho post-traumática resuelta en...
Para ver el contenido completo debe estar registrado
Haga click aquí para iniciar sesión o registrarse

El acceso a Neurorecordings está restringido a médicos, y hace uso del sistema de validación de la plataforma Navandú. Si aún no dispone de usuario es necesario proceder previamente a su registro.
Para cualquier consulta puede dirigirse al Centro de Atención Navandú.
Para iniciar sesión y registrarse en Neurorecordings, le vamos a redirigir a la plataforma de validación profesional de Navandu.
AVISO
Está saliendo del sitio web de Neurorecordings. Este enlace le llevará a un sitio web en el que no se aplica nuestra Política de Privacidad. Usted es el único responsable de sus interacciones con ese sitio web.
