Enfermedad de Marchiafava-Bignami
Enfermedad de Marchiafava-Bignami
Hombre | 60 años
Diagnóstico final: Enfermedad de Marchiafava-Bignami
Nivel de certeza: 




Neurología: Otros
Etiología: Tóxica-yatrogenia
Amanda Alvarez Noval - Hospital De León
Rebeca de la Fuente Blanco
16-Jan-2019
Resumen del caso
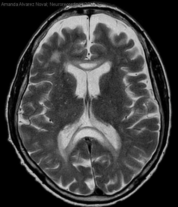
Varón de 60 años que presenta al despertar pérdida de fuerza y sensibilidad en extremidad superior izquierda. Entre sus antecedentes destacan enolismo crónico, tabaquismo, hipertensión arterial, polineuropatía sensitiva y atrofia cerebelosa con ataxia de la...
Para ver el contenido completo debe estar registrado
Haga click aquí para iniciar sesión o registrarse

El acceso a Neurorecordings está restringido a médicos, y hace uso del sistema de validación de la plataforma Navandú. Si aún no dispone de usuario es necesario proceder previamente a su registro.
Para cualquier consulta puede dirigirse al Centro de Atención Navandú.
Para iniciar sesión y registrarse en Neurorecordings, le vamos a redirigir a la plataforma de validación profesional de Navandu.
AVISO
Está saliendo del sitio web de Neurorecordings. Este enlace le llevará a un sitio web en el que no se aplica nuestra Política de Privacidad. Usted es el único responsable de sus interacciones con ese sitio web.
