Meningitis crónica de etiología inusual
Meningitis crónica de etiología inusual
Mujer | 71 años
Diagnóstico final: Meningitis reumatoide
Nivel de certeza: 




Neurología: Otros
Etiología: Autoinmune / sistémico
Luis Miguel Cano Sanchez - Hospital Sant Joan d'Espí Moisès Broggi
Salvador Piles Galdón
16-May-2018
Resumen del caso
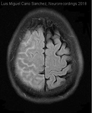
Se trata de una mujer de 71 años dislipémica, con hipotiroidismo y artritis reumatoide (AR) seropositiva de 10 años de evolución, en tratamiento con leflunomida y corticoides a dosis bajas (metilprednisolona 2mg/día). Ingresa por episodios repetidos...
Para ver el contenido completo debe estar registrado
Haga click aquí para iniciar sesión o registrarse

El acceso a Neurorecordings está restringido a médicos, y hace uso del sistema de validación de la plataforma Navandú. Si aún no dispone de usuario es necesario proceder previamente a su registro.
Para cualquier consulta puede dirigirse al Centro de Atención Navandú.
Para iniciar sesión y registrarse en Neurorecordings, le vamos a redirigir a la plataforma de validación profesional de Navandu.
AVISO
Está saliendo del sitio web de Neurorecordings. Este enlace le llevará a un sitio web en el que no se aplica nuestra Política de Privacidad. Usted es el único responsable de sus interacciones con ese sitio web.
