Coreoatetosis subaguda como forma de presentación de un linfoma cerebral primario
Coreoatetosis subaguda como forma de presentación de un linfoma cerebral primario
Mujer | 70 años
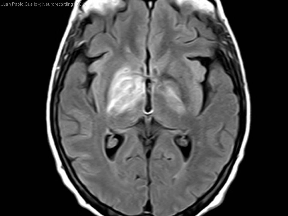
Diagnóstico final: Linfoma Cerebral Primario
Nivel de certeza: 




Neurología: Trastornos del movimiento
Etiología: Malformación vascular | Neoplasias | Otros
Juan Pablo Cuello - - Hospital General Universitario Gregorio Marañón
Andrés Garcia Pastor
18-Jun-2018
Resumen del caso
Mujer 70 años con diabetes e hipertensión. Un mes previo al ingreso, consultó a raíz de un cuadro de mareo e inestabilidad, inespecífico y recibió tratamiento sintomático con Metoclopramide y Betahistina. Tras 2 semanas, consultó...
Para ver el contenido completo debe estar registrado
Haga click aquí para iniciar sesión o registrarse

El acceso a Neurorecordings está restringido a médicos, y hace uso del sistema de validación de la plataforma Navandú. Si aún no dispone de usuario es necesario proceder previamente a su registro.
Para cualquier consulta puede dirigirse al Centro de Atención Navandú.
Para iniciar sesión y registrarse en Neurorecordings, le vamos a redirigir a la plataforma de validación profesional de Navandu.
AVISO
Está saliendo del sitio web de Neurorecordings. Este enlace le llevará a un sitio web en el que no se aplica nuestra Política de Privacidad. Usted es el único responsable de sus interacciones con ese sitio web.
