La gran simuladora
La gran simuladora
Hombre | 24 años
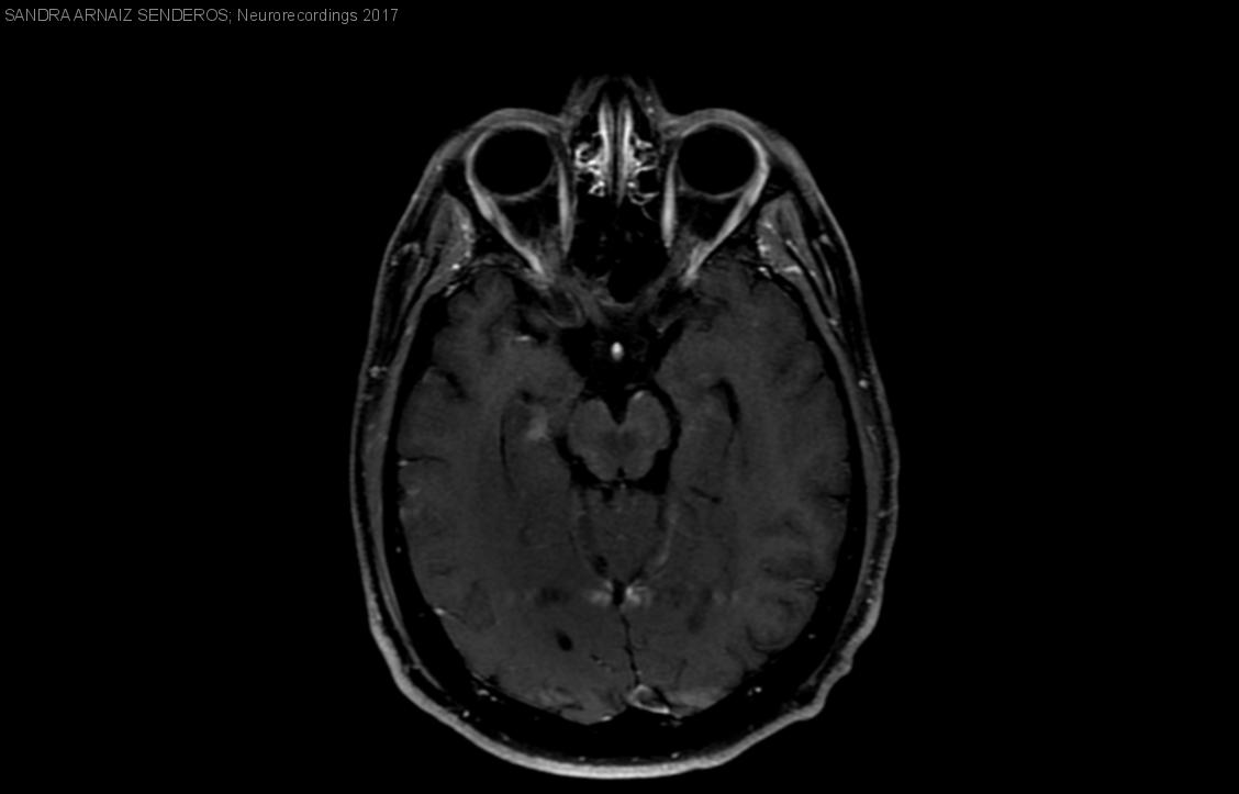
Diagnóstico final: Neurosarcoidosis
Nivel de certeza: 




Neurología: Otros
Etiología: Autoinmune / sistémico
Sandra Arnaiz Senderos - Complejo Asistencial De Burgos
Nicolás Herrera Varo
27-Sep-2018
Resumen del caso
Presentamos el caso de un paciente varón de 24 años, sin antecedentes personales ni familiares de interés, que acude a consulta por presentar un cuadro de dos meses de evolución de cefalea holocraneal, visión doble...
Para ver el contenido completo debe estar registrado
Haga click aquí para iniciar sesión o registrarse

El acceso a Neurorecordings está restringido a médicos, y hace uso del sistema de validación de la plataforma Navandú. Si aún no dispone de usuario es necesario proceder previamente a su registro.
Para cualquier consulta puede dirigirse al Centro de Atención Navandú.
Para iniciar sesión y registrarse en Neurorecordings, le vamos a redirigir a la plataforma de validación profesional de Navandu.
AVISO
Está saliendo del sitio web de Neurorecordings. Este enlace le llevará a un sitio web en el que no se aplica nuestra Política de Privacidad. Usted es el único responsable de sus interacciones con ese sitio web.
