Radiculopatía de origen tumoral
Radiculopatía de origen tumoral
Hombre | 43 años
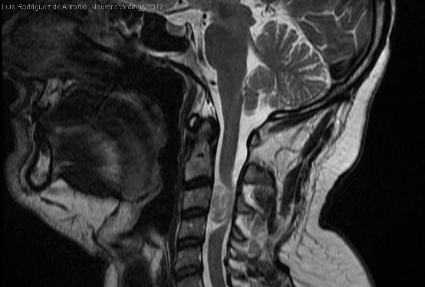
Diagnóstico final: Schwannoma cervicomedular aislado
Nivel de certeza: 




Neurología: Neurooncología | Patología de raquis
Etiología: Neoplasias | Miscelánea
Luis Rodríguez de Antonio - Hospital De Fuenlabrada
03-Mar-2018
Resumen del caso
Varón de 43 años que consulta por dolor cervical irradiado hacia el brazo y la mano izquierda, junto con debilidad y parestesias en la mano de un año de evolución. En la exploración física se...
Para ver el contenido completo debe estar registrado
Haga click aquí para iniciar sesión o registrarse

El acceso a Neurorecordings está restringido a médicos, y hace uso del sistema de validación de la plataforma Navandú. Si aún no dispone de usuario es necesario proceder previamente a su registro.
Para cualquier consulta puede dirigirse al Centro de Atención Navandú.
Para iniciar sesión y registrarse en Neurorecordings, le vamos a redirigir a la plataforma de validación profesional de Navandu.
AVISO
Está saliendo del sitio web de Neurorecordings. Este enlace le llevará a un sitio web en el que no se aplica nuestra Política de Privacidad. Usted es el único responsable de sus interacciones con ese sitio web.
