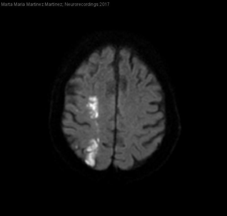
Infarto cerebral en territorios frontera por estenosis crítica de arteria carótida interna derecha.
Infarto cerebral en territorios frontera por estenosis crítica de arteria carótida interna derecha.
Hombre | 71 años
Diagnóstico final: Ictus isquémico en territorio frontera hemisférico derecho.
Nivel de certeza: 




Neurología: Patología cerebrovascular
Etiología: Ictus
Marta Maria Martinez Martinez - Hospital Universitario Infanta Sofía
Lain Ibañez
23-Jun-2020
Resumen del caso
Paciente que consulta por pérdida de fuerza y sensibilidad en miembro superior izquierdo. Antecedentes:diabetes mellitus, dislipemia, amputación transmetatarsiana de pie derecho e infracondílea izquierda por infección. En tratamiento con antidiabéticos orales, hipòlipemiante y AAS.
Exploración Física: TA 157/86mmHg FC 87lpm. ACP:...
Para ver el contenido completo debe estar registrado
Haga click aquí para iniciar sesión o registrarse

El acceso a Neurorecordings está restringido a médicos, y hace uso del sistema de validación de la plataforma Navandú. Si aún no dispone de usuario es necesario proceder previamente a su registro.
Para cualquier consulta puede dirigirse al Centro de Atención Navandú.
Para iniciar sesión y registrarse en Neurorecordings, le vamos a redirigir a la plataforma de validación profesional de Navandu.
AVISO
Está saliendo del sitio web de Neurorecordings. Este enlace le llevará a un sitio web en el que no se aplica nuestra Política de Privacidad. Usted es el único responsable de sus interacciones con ese sitio web.
