Oftalmoplejia dolorosa secundaria a aneurisma cerebral
Oftalmoplejia dolorosa secundaria a aneurisma cerebral
Hombre | 30 años
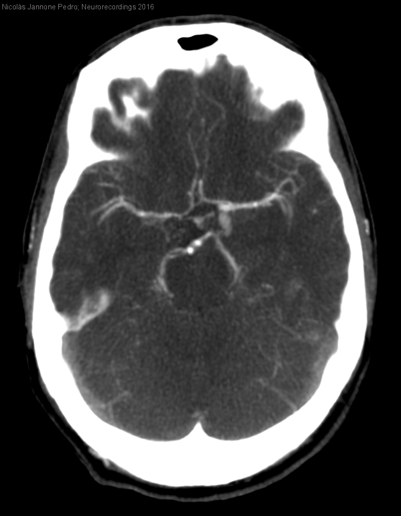
Diagnóstico final: Síndrome del seno cavernoso secundario a aneurisma de la arteria carótida interna izquierda
Nivel de certeza: 




Neurología: Patología cerebrovascular | Cefalea | Neurooftalmologia
Etiología: Malformación vascular
Nicolás Jannone Pedro - Hospital Universitario La Fe
Juan José Delgado Moraleda
13-Dec-2016
Resumen del caso
Varón de 30 años con antecedentes personales de migraña que hace una semana y media presenta una cefalea orbitaria izquierda de inicio brusco, distinta a las habituales. Asocia de forma progresiva diplopia binocular horizontal que...
Para ver el contenido completo debe estar registrado
Haga click aquí para iniciar sesión o registrarse

El acceso a Neurorecordings está restringido a médicos, y hace uso del sistema de validación de la plataforma Navandú. Si aún no dispone de usuario es necesario proceder previamente a su registro.
Para cualquier consulta puede dirigirse al Centro de Atención Navandú.
Para iniciar sesión y registrarse en Neurorecordings, le vamos a redirigir a la plataforma de validación profesional de Navandu.
AVISO
Está saliendo del sitio web de Neurorecordings. Este enlace le llevará a un sitio web en el que no se aplica nuestra Política de Privacidad. Usted es el único responsable de sus interacciones con ese sitio web.
