Hipertensión intracraneal idiopática
Hipertensión intracraneal idiopática
Mujer | 34 años
Diagnóstico final: Hipertensión intracraneal idiopática
Nivel de certeza: 




Neurología: Cefalea | Neurooftalmologia
Etiología: Genético / idiopático
LAURA REDONDO ROBLES - Hospital Universitario De Salamanca
NOELIA GONZÁLEZ NAFRÍA
09-Aug-2016
Resumen del caso
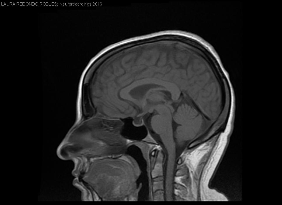
Paciente de 34 años de edad que acudió a urgencias por cefalea holocraneal y pérdida visual progresivas de cinco meses de evolución además, asociaba un aumento de 10 kg de peso en los últimos seis meses....
Para ver el contenido completo debe estar registrado
Haga click aquí para iniciar sesión o registrarse

El acceso a Neurorecordings está restringido a médicos, y hace uso del sistema de validación de la plataforma Navandú. Si aún no dispone de usuario es necesario proceder previamente a su registro.
Para cualquier consulta puede dirigirse al Centro de Atención Navandú.
Para iniciar sesión y registrarse en Neurorecordings, le vamos a redirigir a la plataforma de validación profesional de Navandu.
AVISO
Está saliendo del sitio web de Neurorecordings. Este enlace le llevará a un sitio web en el que no se aplica nuestra Política de Privacidad. Usted es el único responsable de sus interacciones con ese sitio web.
