Aneurisma gigante intracraneal asintomático

Aneurisma gigante intracraneal asintomático

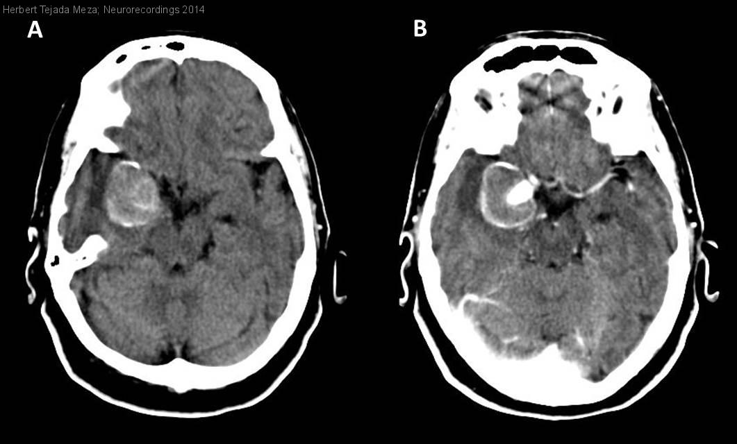
Mujer | 76 años
Diagnóstico final: Aneurisma gigante intracraneal asintomático
Nivel de certeza:
Neurología: Patología cerebrovascular
Etiología: Malformación vascular
Herbert Tejada Meza - Hospital Universitario Miguel Servet
Jorge Artal Roy
29-Oct-2014

Resumen del caso

Mujer de 76 años hipertensa, sin historia de afectación renal, no fuma ni bebe alcohol, niega sufrir cefaleas u otro antecedente de interés. No tiene familiares que hayan padecido alguna hemorragia intracerebral o subaracnoidea. Consulta...

Para ver el contenido completo debe estar registrado

Haga click aquí para iniciar sesión o registrarse

El acceso a Neurorecordings está restringido a médicos, y hace uso del sistema de validación de la plataforma Navandú. Si aún no dispone de usuario es necesario proceder previamente a su registro.

Para cualquier consulta puede dirigirse al Centro de Atención Navandú.

Para iniciar sesión y registrarse en Neurorecordings, le vamos a redirigir a la plataforma de validación profesional de Navandu.

AVISO
Está saliendo del sitio web de Neurorecordings. Este enlace le llevará a un sitio web en el que no se aplica nuestra Política de Privacidad. Usted es el único responsable de sus interacciones con ese sitio web.