POSIBLES SCHWANNOMAS BILATERALES COMO CAUSA DE NEURALGIA TRIGÉMINO

POSIBLES SCHWANNOMAS BILATERALES COMO CAUSA DE NEURALGIA TRIGÉMINO

Hombre | 49 años
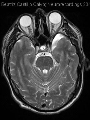
Diagnóstico final: POSIBLES SCHWANNOMAS V2 BILATERALES
Nivel de certeza:
Neurología: Neurooncología
Etiología: Neoplasias
Beatriz Castillo Calvo - Hospital De Basurto
04-Jun-2014

Resumen del caso

Varón de 49 años, sin antecedentes personales ni familiares de interés, no hábitos tóxicos y no toma de fármacos de forma habitual. Presenta episodios repetidos y autolimitados de neuralgia y parestesias en región V2 izquierda desde...

Para ver el contenido completo debe estar registrado

Haga click aquí para iniciar sesión o registrarse

El acceso a Neurorecordings está restringido a médicos, y hace uso del sistema de validación de la plataforma Navandú. Si aún no dispone de usuario es necesario proceder previamente a su registro.

Para cualquier consulta puede dirigirse al Centro de Atención Navandú.

Para iniciar sesión y registrarse en Neurorecordings, le vamos a redirigir a la plataforma de validación profesional de Navandu.

AVISO
Está saliendo del sitio web de Neurorecordings. Este enlace le llevará a un sitio web en el que no se aplica nuestra Política de Privacidad. Usted es el único responsable de sus interacciones con ese sitio web.