Encefalopatía aguda con crisis epilépticas.

Encefalopatía aguda con crisis epilépticas.

Mujer | 61 años
Diagnóstico final: Encefalopatia por Arteriopatia cerebral familiar- CADASIL-
Nivel de certeza:
Neurología: Patología cerebrovascular
Etiología: Ictus | Genético / idiopático
Mª Dolores Sevillano Garcia - Hospital Universitario De Salamanca
Jesús Arcaya Navarro
11-May-2016

Resumen del caso

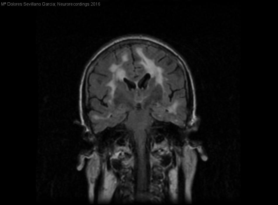
Mujer de 61 años diabética, que en octubre del 2009 debuta con crisis epilépticas tónico clónicas generalizadas y disminución del nivel de conciencia persistente durante varios dias. TC cerebral se visualizan áreas hipodensas subcorticales en...


Para ver el contenido completo debe estar registrado

Haga click aquí para iniciar sesión o registrarse

El acceso a Neurorecordings está restringido a médicos, y hace uso del sistema de validación de la plataforma Navandú. Si aún no dispone de usuario es necesario proceder previamente a su registro.

Para cualquier consulta puede dirigirse al Centro de Atención Navandú.

Para iniciar sesión y registrarse en Neurorecordings, le vamos a redirigir a la plataforma de validación profesional de Navandu.

AVISO
Está saliendo del sitio web de Neurorecordings. Este enlace le llevará a un sitio web en el que no se aplica nuestra Política de Privacidad. Usted es el único responsable de sus interacciones con ese sitio web.