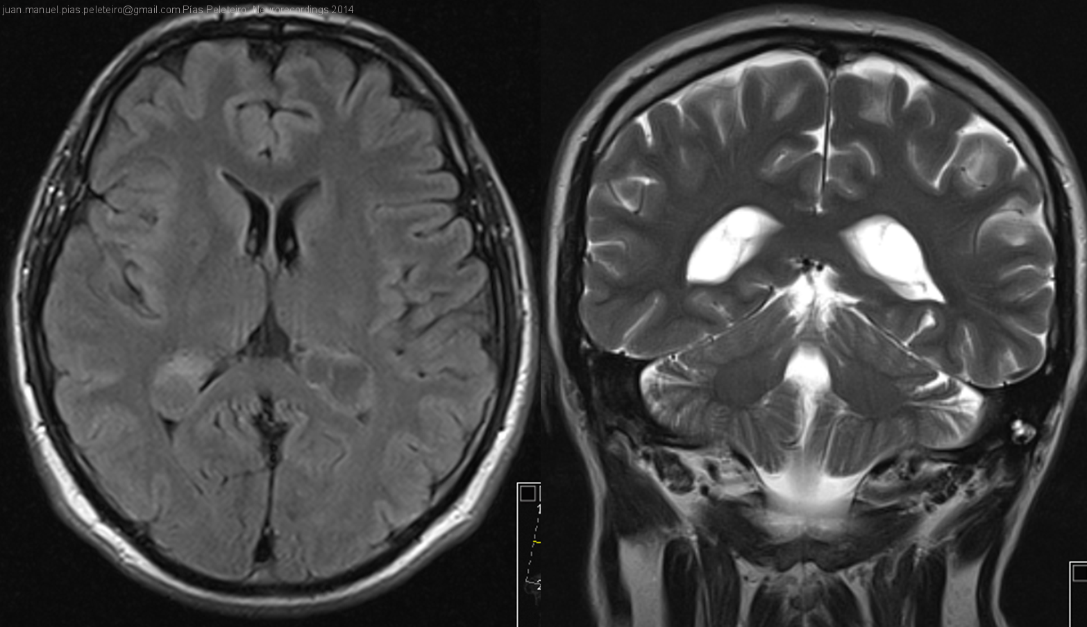
Xantogranulomas de plexos coroideos como hallazgo incidental

Xantogranulomas de plexos coroideos como hallazgo incidental

Hombre | 40 años
Diagnóstico final: Xantogranulomas de plexos coroideos
Nivel de certeza:
Neurología: Anatomía. Variantes de la normalidad
Etiología: Anatomía. Variantes de la normalidad
Juan Manuel Pías Peleteiro - Complejo Hospitalario Universitario De Santiago
José Aldrey
04-May-2014

Resumen del caso

Varón de 40 años que acude a la consulta de Neurología por cefalea. Antecedentes personales de hernia de hiato, gastritis crónica antral, rinitis alérgica y asma. No refiere hábitos tóxicos ni alergias medicamentosas. ...

Para ver el contenido completo debe estar registrado

Haga click aquí para iniciar sesión o registrarse

El acceso a Neurorecordings está restringido a médicos, y hace uso del sistema de validación de la plataforma Navandú. Si aún no dispone de usuario es necesario proceder previamente a su registro.

Para cualquier consulta puede dirigirse al Centro de Atención Navandú.

Para iniciar sesión y registrarse en Neurorecordings, le vamos a redirigir a la plataforma de validación profesional de Navandu.

AVISO
Está saliendo del sitio web de Neurorecordings. Este enlace le llevará a un sitio web en el que no se aplica nuestra Política de Privacidad. Usted es el único responsable de sus interacciones con ese sitio web.