Crisis epilepticas secundarias a Toxoplasmosis cerebral

Crisis epilepticas secundarias a Toxoplasmosis cerebral

Hombre | 27 años
Diagnóstico final: Epilepsia con crisis parciales complejas frontales secundarias a Toxoplasmosis congénita
Nivel de certeza:
Neurología: Epilepsia
Etiología: Infecciosas / inflamatoria / desmielinizante
Pedro Enrique Jimenez Caballero - Hospital San Pedro De Alcantara
04-May-2014

Resumen del caso

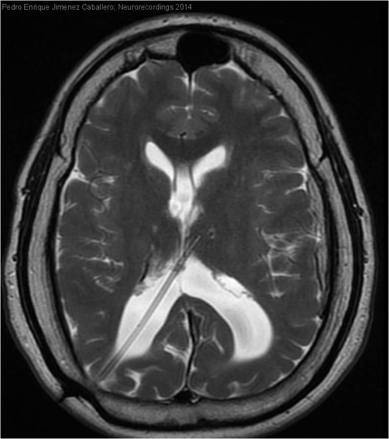
Varón de 27 años con antecedentes de Retraso Psicomotor severo secundario a Toxoplasmosis congénita y valvula de derivación ventriculoperitoneal por hidrocefalea obstructiva. Presenta a los 26 años episodios de pérdida de conciencia con desconexión del...

Para ver el contenido completo debe estar registrado

Haga click aquí para iniciar sesión o registrarse

El acceso a Neurorecordings está restringido a médicos, y hace uso del sistema de validación de la plataforma Navandú. Si aún no dispone de usuario es necesario proceder previamente a su registro.

Para cualquier consulta puede dirigirse al Centro de Atención Navandú.

Para iniciar sesión y registrarse en Neurorecordings, le vamos a redirigir a la plataforma de validación profesional de Navandu.

AVISO
Está saliendo del sitio web de Neurorecordings. Este enlace le llevará a un sitio web en el que no se aplica nuestra Política de Privacidad. Usted es el único responsable de sus interacciones con ese sitio web.