• Jannina Lizbeth Rodriguez Chacon | 07-Aug-2014

    El encefalocele consiste en la protrusión de contenido intracraneal -encéfalo y meninges- a través de un defecto óseo craneal. Se clasifica según su localización en occipital (el más frecuente), parietal y sincipital (nasofrontal, nasoetmoidal). Comunicamos...
    Caso completo | PDF
    Neurología: OtrosEtiología: OtrosDiagnóstico final: Encefalocele sincipital -variante nasofrontal-Nivel de certeza:
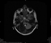
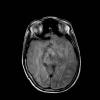
  • Mónica Luque Alarcón | 31-Jul-2014

    Mujer de 56 años que consulta por mareos e inestabilidad para la marcha de larga evolución. En la exploración destacaba una leve hipotonía, pulsiones al andar y dismetria de extremidades derechas. No nistagmo. El...
    Caso completo | PDF
    Neurología: Anatomía. Variantes de la normalidadEtiología: Anatomía. Variantes de la normalidadDiagnóstico final: Agenesia de hemisferio cerebeloso derecho.Nivel de certeza:
  • LAURA REDONDO ROBLES | 29-Jul-2014

    Las neoplasias intramedulares primarias son infrecuentes en la edad adulta y presentan un claro predominio hacia los tumores de estirpe glial. El lipoma intramedular es un tumor benigno de origen mesenquimal, muy infrecuente, de lento...
    Caso completo | PDF
    Neurología: Patología de raquisEtiología: NeoplasiasDiagnóstico final: Lipoma intramedular dorsalNivel de certeza:
  • SIRA CARRASCO GARCÍA DE LEÓN | 23-Jul-2014

    Varón 55 años, hipertenso. El paciente comenzó con crisis 15-20 días antes de acudir a Urgencias. Refería episodios súbitos consistentes en la visualización de imágenes circulares de colores que se desplazaban desde el centro del...
    Caso completo | PDF
    Neurología: EpilepsiaEtiología: MetabólicoDiagnóstico final: Crisis epilépticas parciales simples occipitales por descompensación no cetónica de diabetes mellitus no conocida previamente.Nivel de certeza:
  • Ricardo Lobato Rodriguez | 01-Jul-2014

    Cefalea de localización hemicraneal izquierda, pulsatil, que no se acompaña de nauseas ni vómitos. Se precede de hormigueo en mano y brazo izquierdo. Dura unas horas, con sono y fotofobia. Frecuencia de 1 al mes...
    Caso completo | PDF
    Neurología: Patología cerebrovascular | CefaleaEtiología: Malformación vascularDiagnóstico final: MAV gigante. Migraña con auraNivel de certeza:
  • José Rafael Bretón Martínez | 01-Jul-2014

    Niño en seguimiento por Neurofibromatosis tipo 1 que a los 3 años presenta cuadro de irritabilidad, torpeza a la marcha, pérdida de fuerza en miembro superior e inferior derecho y dismetría derecha. En las horas...
    Caso completo | PDF
    Neurología: Patología cerebrovascularEtiología: Malformación vascularDiagnóstico final: FENÓMENO DE MOYA-MOYA EN PACIENTE CON NEUROFIBROMATOSIS TIPO 1Nivel de certeza:
  • Abel Alejandro Sanabria Sanchinel | 27-Jun-2014

    Mujer natural de Marruecos, sin antecedentes de interés, con cefalea de 3 años con aumento progresivo, episódica, intensidad leve a moderada asociada a mareo, sin clara caracterización. Al año de inicio requirió valoración en urgencias,...
    Caso completo | PDF
    Neurología: CefaleaEtiología: MisceláneaDiagnóstico final: Quiste aracnoideo giganteNivel de certeza:
  • Joaquín Ojeda Ruiz de Luna | 18-Jun-2014

    Remitida por su pediatra por sospecha  de crisis ausencia. Refiere episodios desde hace 8 meses de desconexión del medio  con parpadeo  y mirada hacia arriba, sin reacción a estímulos visuales , de unos 4  segundos de duración, varias...
    Caso completo | PDF
    Neurología: EpilepsiaEtiología: Genético / idiopáticoDiagnóstico final: EPILEPSIA DE AUSENCIA INFANTILNivel de certeza:
  • José Manuel Fernández Carril | 15-Jun-2014

    Paciente de 51 años ingresado por una pancreatitis secundaria a coledocolitiasis. Durante la realización de colangiografía presenta una depresión respiratoria, precisando intubación que resulta dificultosa y ventilación mecánica. Tras 48 h en UVI pasa a...
    Caso completo | PDF
    Neurología: Patología cerebrovascularEtiología: OtrosDiagnóstico final: Encefalopatía postanóxica retardadaNivel de certeza:
  • José Miguel Santonja Llabata | 07-Jun-2014

    paciente de origen boliviano sin antecedentes patológicos de interés que acude por un cuadro de tres meses de evolución que se inició con episodios en los que nota una sensación de calor en miembros inferioes...
    Caso completo | PDF
    Neurología: Patología cerebrovascularEtiología: Malformación vascularDiagnóstico final: FISTULA DURALNivel de certeza:
  • Eduardo Gutiérrez Rivas | 07-Jun-2014

    Paciente zurdo que nota dolor agudo en el hombro mientras juega al pádel. Al día siguiente no puede separar bien el brazo izquierdo. Al mes aprecia disminución del volumen muscular de hombro, que está "descarnado". Exploración.-...
    Caso completo | PDF
    Neurología: Neuromuscular / ataxiasEtiología: TraumaDiagnóstico final: Neuropatía del Nervio Axilar izquierdoNivel de certeza:
  • Eduardo Gutiérrez Rivas | 07-Jun-2014

    Cuadro de comienzo insidioso y curso progresivo de 6-8 meses de evolución de torpeza manipulativa en la mano derecha y hormigueos en el borde interno de la mano. Recientemente ha apreciado atrofias en la...
    Caso completo | PDF
    Neurología: Neuromuscular / ataxiasEtiología: TraumaDiagnóstico final: Neuropatía cubital derechaNivel de certeza:

Páginas

El acceso a Neurorecordings está restringido a médicos, y hace uso del sistema de validación de la plataforma Navandú. Si aún no dispone de usuario es necesario proceder previamente a su registro.

Para cualquier consulta puede dirigirse al Centro de Atención Navandú.

El acceso a Neurorecordings está restringido a médicos, y hace uso del sistema de validación de la plataforma Navandú. Si aún no dispone de usuario es necesario proceder previamente a su registro.

Para cualquier consulta puede dirigirse al Centro de Atención Navandú.

Para iniciar sesión y registrarse en Neurorecordings, le vamos a redirigir a la plataforma de validación profesional de Navandu.

AVISO
Está saliendo del sitio web de Neurorecordings. Este enlace le llevará a un sitio web en el que no se aplica nuestra Política de Privacidad. Usted es el único responsable de sus interacciones con ese sitio web.