Una hallazgo infrecuente en el seno cavernoso

Una hallazgo infrecuente en el seno cavernoso

Hombre | 60 años
Diagnóstico final: Arteria trigeminal persistente
Nivel de certeza:
Neurología: Anatomía. Variantes de la normalidad
Etiología: Anatomía. Variantes de la normalidad
Abel Diaz Diaz - Hospital Universitario Insular De Gran Canaria
Elena Jiménez Quintana
19-Apr-2016

Resumen del caso

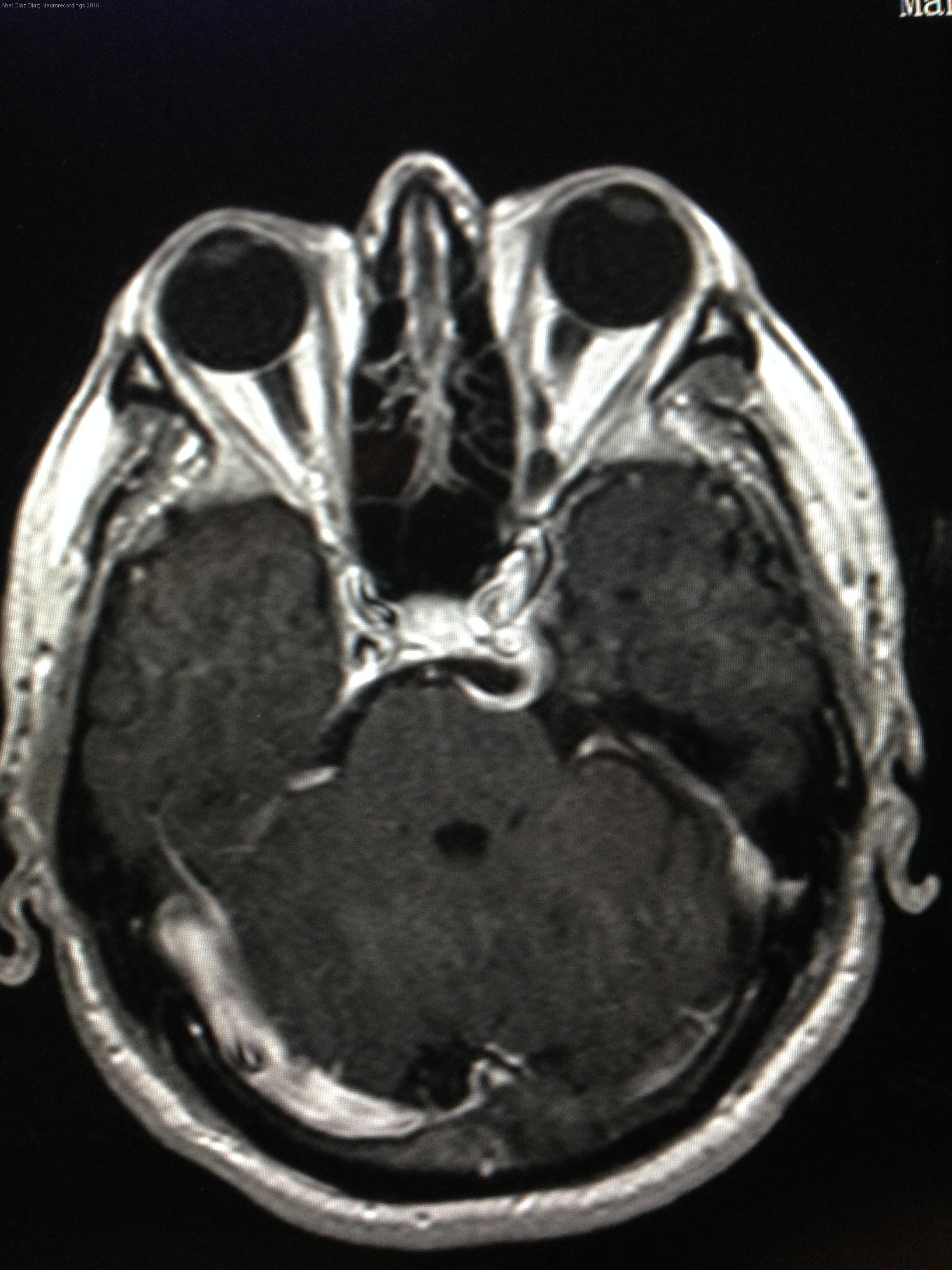
Varón de 60 años que consulta por visión doble horizontal con la mirada lejana de meses de evolución. A la exploración física se objetiva proptosis de ojo izquierdo y paresia de sexto par izquierdo. Se solicita TAC...


Para ver el contenido completo debe estar registrado

Haga click aquí para iniciar sesión o registrarse

El acceso a Neurorecordings está restringido a médicos, y hace uso del sistema de validación de la plataforma Navandú. Si aún no dispone de usuario es necesario proceder previamente a su registro.

Para cualquier consulta puede dirigirse al Centro de Atención Navandú.

Para iniciar sesión y registrarse en Neurorecordings, le vamos a redirigir a la plataforma de validación profesional de Navandu.

AVISO
Está saliendo del sitio web de Neurorecordings. Este enlace le llevará a un sitio web en el que no se aplica nuestra Política de Privacidad. Usted es el único responsable de sus interacciones con ese sitio web.