Trombosis venosa cerebral: la anticoagulación, ante todo
Trombosis venosa cerebral: la anticoagulación, ante todo
Mujer | 46 años
Diagnóstico final: trombosis de senos venosos
Nivel de certeza: 




Neurología: Patología cerebrovascular
Etiología: Ictus
Victor Manuel Perez Navarro - Hospital Universitario Virgen De La Arrixaca
María Obdulia Lozano Caballero
23-Jun-2020
Resumen del caso
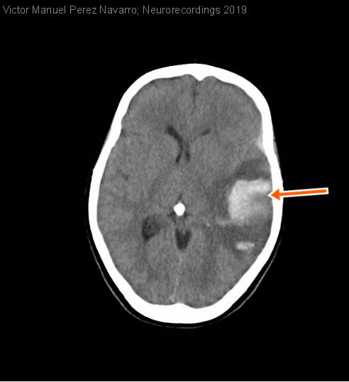
Paciente mujer de 46 años que consulta por cefalea y alteración del lenguaje. Entre sus antecedentes personales no refiere alergias ni otros antecedentes médico-quirúrgicos de interés. En tratamiento crónico con anticonceptivos hormonales orales.
La paciente despierta...
Para ver el contenido completo debe estar registrado
Haga click aquí para iniciar sesión o registrarse

El acceso a Neurorecordings está restringido a médicos, y hace uso del sistema de validación de la plataforma Navandú. Si aún no dispone de usuario es necesario proceder previamente a su registro.
Para cualquier consulta puede dirigirse al Centro de Atención Navandú.
Para iniciar sesión y registrarse en Neurorecordings, le vamos a redirigir a la plataforma de validación profesional de Navandu.
AVISO
Está saliendo del sitio web de Neurorecordings. Este enlace le llevará a un sitio web en el que no se aplica nuestra Política de Privacidad. Usted es el único responsable de sus interacciones con ese sitio web.
