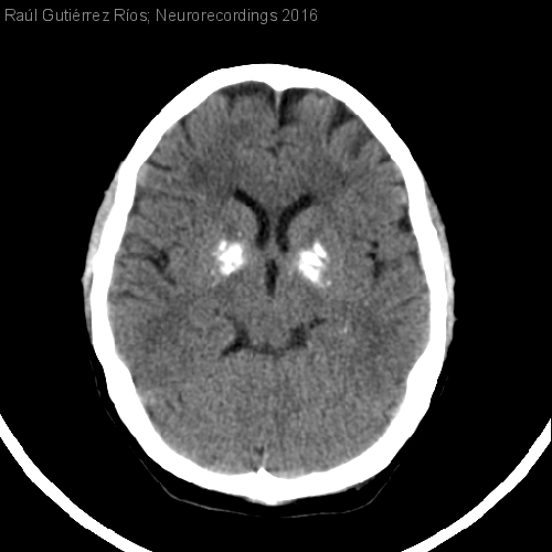
Síndrome depresivo secundario a Enfermedad de Fahr
Síndrome depresivo secundario a Enfermedad de Fahr
Mujer | 47 años
Diagnóstico final: Enfermedad de Fahr esporádica
Nivel de certeza: 




Neurología: Cefalea
Etiología: Genético / idiopático
Raúl Gutiérrez Ríos - Hospital Nuestra Señora De Sonsoles
María Teresa García Hernández
19-Apr-2016
Resumen del caso
Mujer de 47 años de edad, sin antecedentes personales ni familiares de interés, remitida por su médico de familia por cefalea. Aquejaba trastorno afectivo, insomnio mixto y cefalea de perfil tensional desde hacía un año. La...
Para ver el contenido completo debe estar registrado
Haga click aquí para iniciar sesión o registrarse

El acceso a Neurorecordings está restringido a médicos, y hace uso del sistema de validación de la plataforma Navandú. Si aún no dispone de usuario es necesario proceder previamente a su registro.
Para cualquier consulta puede dirigirse al Centro de Atención Navandú.
Para iniciar sesión y registrarse en Neurorecordings, le vamos a redirigir a la plataforma de validación profesional de Navandu.
AVISO
Está saliendo del sitio web de Neurorecordings. Este enlace le llevará a un sitio web en el que no se aplica nuestra Política de Privacidad. Usted es el único responsable de sus interacciones con ese sitio web.
