Recidiva tardía de un linfoma primario del sistema nervioso central.
Recidiva tardía de un linfoma primario del sistema nervioso central.
Hombre | 54 años
Diagnóstico final: Recidiva de linfoma cerebral primario
Nivel de certeza: 




Neurología: Neurooncología
Etiología: Neoplasias
Antonio Doncel-Moriano Cubero - Hospital Clinic I Provincial De Barcelona
Mircea Balasa
05-Apr-2021
Resumen del caso
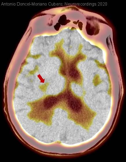
Varón de 54 años con antecedentes de linfoma primario del sistema nervioso central de células grandes diagnosticado en 2010 por alteración conductual y deterioro cognitivo rápidamente progresivo. Recibió quimioterapia (carmustina, metotrexato y Ara-C: esquema BAM,...
Para ver el contenido completo debe estar registrado
Haga click aquí para iniciar sesión o registrarse

El acceso a Neurorecordings está restringido a médicos, y hace uso del sistema de validación de la plataforma Navandú. Si aún no dispone de usuario es necesario proceder previamente a su registro.
Para cualquier consulta puede dirigirse al Centro de Atención Navandú.
Para iniciar sesión y registrarse en Neurorecordings, le vamos a redirigir a la plataforma de validación profesional de Navandu.
AVISO
Está saliendo del sitio web de Neurorecordings. Este enlace le llevará a un sitio web en el que no se aplica nuestra Política de Privacidad. Usted es el único responsable de sus interacciones con ese sitio web.
