Parkinsonismo agudo como forma de presentación de mielinolisis central pontina y extrapontina tras adecuada corrección de hiponatremia.
Parkinsonismo agudo como forma de presentación de mielinolisis central pontina y extrapontina tras adecuada corrección de hiponatremia.
Hombre | 50 años
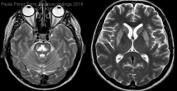
Diagnóstico final: Mielinolisis central pontina/extrapontina
Nivel de certeza: 




Neurología: Trastornos del movimiento | Otros
Etiología: Metabólico
Paula Pérez Torre - Hospital Universitario Ramón Y Cajal
Iñigo Corral Corral
26-Feb-2020
Resumen del caso
Varón de 50 años , hipertenso en tratamiento con tiazidas. Acudió a Urgencias por mareo y en la analítica de sangre se descubrió un sodio de 103 mEq/L. Se inició una corrección lenta con un...
Para ver el contenido completo debe estar registrado
Haga click aquí para iniciar sesión o registrarse

El acceso a Neurorecordings está restringido a médicos, y hace uso del sistema de validación de la plataforma Navandú. Si aún no dispone de usuario es necesario proceder previamente a su registro.
Para cualquier consulta puede dirigirse al Centro de Atención Navandú.
Para iniciar sesión y registrarse en Neurorecordings, le vamos a redirigir a la plataforma de validación profesional de Navandu.
AVISO
Está saliendo del sitio web de Neurorecordings. Este enlace le llevará a un sitio web en el que no se aplica nuestra Política de Privacidad. Usted es el único responsable de sus interacciones con ese sitio web.
