Parálisis del III nervio craneal con compromiso pupilar
Parálisis del III nervio craneal con compromiso pupilar
Hombre | 77 años
Diagnóstico final: Apoplejía hipofisaria
Nivel de certeza: 




Neurología: Neurooncología | Otros
Etiología: Neoplasias
Lucía Frade Pardo - Complejo Universitario La Paz
María Hernández Barral
27-Apr-2017
Resumen del caso
AP: DM, HBP, ex fumador; ERm=0.
Inicio brusco aunque progresivo de ptosis derecha, visión doble, cefalea y vómitos, con ptosis palpebral, midriasis arreactiva y oftalmoplejia completa derechas a la exploración neurológica.
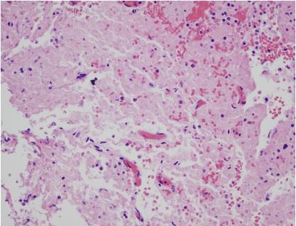
RM cerebral: lesión intra-supraselar...
Para ver el contenido completo debe estar registrado
Haga click aquí para iniciar sesión o registrarse

El acceso a Neurorecordings está restringido a médicos, y hace uso del sistema de validación de la plataforma Navandú. Si aún no dispone de usuario es necesario proceder previamente a su registro.
Para cualquier consulta puede dirigirse al Centro de Atención Navandú.
Para iniciar sesión y registrarse en Neurorecordings, le vamos a redirigir a la plataforma de validación profesional de Navandu.
AVISO
Está saliendo del sitio web de Neurorecordings. Este enlace le llevará a un sitio web en el que no se aplica nuestra Política de Privacidad. Usted es el único responsable de sus interacciones con ese sitio web.
