No puedo dejar de mover mi mano
No puedo dejar de mover mi mano
Mujer | 67 años
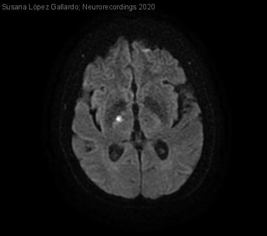
Diagnóstico final: Hemicorea izquierdo de inicio agudo secundaria a ictus isquémico talámico derecho
Nivel de certeza: 




Neurología: Patología cerebrovascular | Trastornos del movimiento
Etiología: Ictus
Susana López Gallardo - C.S. Santa Hortensia
Joaquín Ojeda Ruiz de Luna
07-Mar-2021
Resumen del caso
-HTA. No DM. DL.
-Un año antes valorada por Neurología por mareos e inestabilidad con lateropulsiónderecha. RMN cerebral: leucoencefalopatía vascular isquémica de pequeño vaso cerebral, hallazgos que probablemente corresponden a patología crónica por HTA.
-Despierta habiéndose acostado...
Para ver el contenido completo debe estar registrado
Haga click aquí para iniciar sesión o registrarse

El acceso a Neurorecordings está restringido a médicos, y hace uso del sistema de validación de la plataforma Navandú. Si aún no dispone de usuario es necesario proceder previamente a su registro.
Para cualquier consulta puede dirigirse al Centro de Atención Navandú.
Para iniciar sesión y registrarse en Neurorecordings, le vamos a redirigir a la plataforma de validación profesional de Navandu.
AVISO
Está saliendo del sitio web de Neurorecordings. Este enlace le llevará a un sitio web en el que no se aplica nuestra Política de Privacidad. Usted es el único responsable de sus interacciones con ese sitio web.
