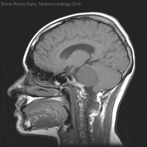
Neurinoma acústico de gran tamaño
Neurinoma acústico de gran tamaño
Mujer | 28 años
Diagnóstico final: Neurinoma del VIII par de gran tamano
Nivel de certeza: 




Neurología: Neurooncología | Neurootología
Etiología: Neoplasias
Elena Rivero Sanz - Hospital Clínico Universitario Lozano Blesa
José Luis Camacho Velásquez, Paúl Ricardo Vinueza Buitrón, Sonia Santos Lasaosa, Carlos Tejero Juste
04-Dec-2014
Resumen del caso
Para ver el contenido completo debe estar registrado
Haga click aquí para iniciar sesión o registrarse

El acceso a Neurorecordings está restringido a médicos, y hace uso del sistema de validación de la plataforma Navandú. Si aún no dispone de usuario es necesario proceder previamente a su registro.
Para cualquier consulta puede dirigirse al Centro de Atención Navandú.
Para iniciar sesión y registrarse en Neurorecordings, le vamos a redirigir a la plataforma de validación profesional de Navandu.
AVISO
Está saliendo del sitio web de Neurorecordings. Este enlace le llevará a un sitio web en el que no se aplica nuestra Política de Privacidad. Usted es el único responsable de sus interacciones con ese sitio web.
